Лечение скученности зубов элайнерами

До
После

Лечение скученности зубов элайнерами

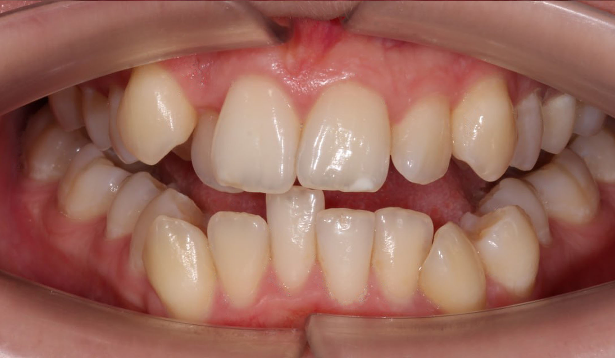
Девушка обратилась со сложной ситуацией: наблюдается выраженная скучность верхних и нижних зубных рядов, деформации формы верхнего и нижнего зубного ряда, несоответствие центральных линий, тенденция к открытому прикусу и мезиальному прикусу. В течение 3 лет проходило лечение с использованием элайнеров (США), благодаря которому был получен отличный результат. 

Использование четырех мини-винтов в первом, втором, третьем и четвертом сегментах.

Наши проекты
Дентал Фэнтези
детская стоматология
Фэнтези
педиатрическая клиника
Diagnocat
искусственный интеллект
Работа в ГК Фэнтези
открытые вакансии

*
Социальная сеть Instagram принадлежит компании Meta Platforms Inc., которая запрещена на территории РФ

English version English version

Колл-центр: (8:00–22:00), call@fantasyclinic.ru

Для связи по PR-вопросам: pr@fantasyclinic.ru

© 2026 Все права защищены
Имеются противопоказания. Проконсультируйтесь со специалистом Имеются противопоказания. Проконсультируйтесь со специалистом