Наши работы: до и после

Выберите
До
После
Тотальная реабилитация
Доктор: Шех Тимур
Клиника: Фрунзенская
До
После
Тотальная реабилитация
Доктор: Шех Тимур
Клиника: Фрунзенская
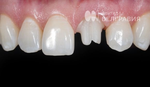
До
После
Эстетическое восстановление керамической коронкой зуба
Доктор: Шех Тимур
Клиника: Фрунзенская
До
После
Лечение на брекетах
До
После

Лечение скученности зубов элайнерами

До
После
Новая улыбка за 3 визита
До
После
Лечение на брекет-системе
До
После
Тотальное преображение улыбки: 28 виниров и коронок
Клиника: Фрунзенская
До
После
Восстановление зубов керамическими коронками и винирами.
До
После
Новая улыбка для нашей пациентки
Наши проекты
Дентал Фэнтези
детская стоматология
Фэнтези
педиатрическая клиника
Diagnocat
искусственный интеллект
Работа в ГК Фэнтези
открытые вакансии

*
Социальная сеть Instagram принадлежит компании Meta Platforms Inc., которая запрещена на территории РФ

English version English version

Колл-центр: (8:00–22:00), call@fantasyclinic.ru

Для связи по PR-вопросам: pr@fantasyclinic.ru

© 2026 Все права защищены
Имеются противопоказания. Проконсультируйтесь со специалистом Имеются противопоказания. Проконсультируйтесь со специалистом