Опущение десны — симптомы, причины, способы лечения

Рецессия десны — это состояние, при котором десна отошла от зуба, обнажая его корень. Это не только эстетическая проблема, но и признак возможных заболеваний десен. Десна опускаются по разным причинам: аномалии прикуса, агрессивная и грубая чистка зубов, а также недостаточная гигиена полости рта. Если вы заметили подобные признаки, важно не откладывать визит к стоматологу и узнать, что делать, если десна опустилась.

В нашей клинике мы предлагаем эффективное лечение рецессии десны, направленное на закрытие оголенных участков корня зуба и восстановление здоровья десен. Наши специалисты используют современные методы пластики и лечения рецессии, которые помогают бороться с убылью десен и предотвращать повторное появление, возвращая пациентам красивую и здоровую улыбку.

от 9 700 ₽
Вы оставляете заявку на ПЕРВЫЙ прием к врачу. Если вы уже наблюдаетесь у нас, позвоните

Как мы поможем при опущении десны?

Перед операцией обязательно проводится профессиональная гигиена по швейцарскому протоколу GBT.

Если обнаружен пародонтит, сначала мы добиваемся уменьшения пародонтальных карманов.

Основное лечение — микрохирургическая операция, пластика десны. Это самый надежный и самый популярный способ лечения рецессии, с понятным прогнозом и быстрым результатом.

Эта микрохирургическая операция проходит с пересадкой собственных тканей пациента или без нее. Чем раньше сделана пластика, тем лучше результат и меньше вмешательство.

Выполняют эту процедуру хирурги-стоматологи.

Лечение рецессии десны — почему именно в Дентал Белгравия?

Комплексный подход к лечению болезней десны. В команде Дентал Белгравия опытные стоматологи разных специальностей: пародонтологигигиенистыортодонтыхирурги. Выберем метод лечения, который будет эффективным при рецессии десны.

Если нужна пластика десны, решим проблему с помощью микрохирургической операции — за 1 визит. 

Без стресса — можем предложить седацию или лечение во сне. Вы проснетесь, а лечение уже будет закончено.

После заживления на десне не останется никаких следов — она будет выглядеть абсолютно здоровой.

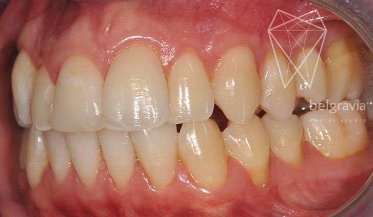
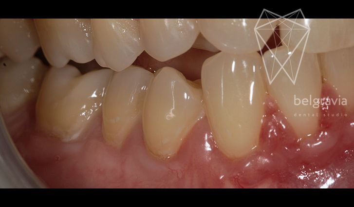
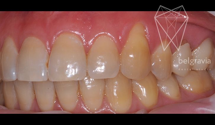
Результаты до/после
01 / 14
До
После
Сложная пластика десны, протезирование на имплантатах
Доктор: Микоян Артавазд
Клиника: Фрунзенская
Подробно
До
После
Реставрация винирами и керамическими коронками
Доктора: Ашуров Роман, Царьков Виталий
Клиника: Кунцевская
Подробно
До
После
Пластика десны
Клиника: Новые Черемушки
Подробно
До
После
Пластика десны, лечение рецессий (Фото До/После)
Клиника: Новые Черемушки
Подробно
До
После
Лечение рецессий (Фото)
Клиника: Новые Черемушки
Подробно
До
После
Пластика десны, лечение рецессий (Фото)
Клиника: Новые Черемушки
Подробно
До
После
Пластика десны и лечение рецессий
Клиника: Новые Черемушки
Подробно
До
После
Комплексное лечение
Доктора: Мельников Александр , Ашуров Роман, Царьков Виталий, Жукова Ирина, Родионова Ольга
Клиника: Кунцевская
Подробно
До
После
Пластика десны, лечение рецессий
Доктор: Ширналиев Ульви
Клиника: Новые Черемушки
Подробно
До
После
Лечение рецессий
Доктор: Ширналиев Ульви
Клиника: Новые Черемушки
Подробно
До
После
Пластика десны (Фото До/После)
Доктор: Ширналиев Ульви
Клиника: Новые Черемушки
Подробно
До
После
Пластика множественных рецессий десны
Доктор: Микоян Артавазд
Клиника: Фрунзенская
Подробно
До
После
Пластика множественных рецессий
Доктор: Микоян Артавазд
Клиника: Фрунзенская
Подробно
До
После
Пластика рецессий
Доктор: Ширналиев Ульви
Клиника: Новые Черемушки
Подробно
01 / 14
У вас похожий случай? Запишитесь на прием!

Нажимая на кнопку, вы даете согласие на обработку персональных данных

Лечение рецессии десны: отзывы пациентов Дентал Белгравия
01 / 10
Наталья
04 января 2025
Большое спасибо Александру Багратовичу и его помощнице ( к сожалению, не запомнила имя) за супер профессиональную работу, внимание и поддержку. Доктор провел операцию по закрытию рецессии десны. Все прошло в очень комфортной, доброжелательной атмосфере, аккуратно и безболезненно. Александр Багратович настоящий профессионал, очень вежливый и позитивный, с прекрасным чувством юмора. Доктор подробно ответил на все мои вопросы и дал исчерпывающие рекомендации для дальнейшего восстановления. Всем очень рекомендую этого доктора!
Елена Соломатова
11 июля 2023
Очень понравилось клиника. Сервис, качество, отношение. Была у доктора - Черкесова Лана Султановна. Дала грамотную консультацию, теперь буду обслуживаться здесь.
Светлана
08 февраля 2023
Ульви Рамизович провёл мне мягкотканную пластику. У меня не хватало части десны и доктор сделал операцию, которая решила данную проблему. Во время приёма я была восхищена, какая тонкая работа произведена. Ульви Рамизович очень внимателен, постоянно интересовался самочувствием, а послеоперационное восстановление прошло быстро и безболезненно. Очень благодарна врачам, клинике и всему персоналу. Здесь прекрасный сервис и очень комфортная атмосфера.
Александра
17 октября 2022
Наталья Юрьевна - лучший пародонтолог, с которым мне довелось встретиться. Действительно безболезненно. Действительно забыла про кровоточивость и другие проблемы. Спасибо!
Светлана
10 октября 2022
Была у Ульви Рамизовича на приеме. Очень внимательный и аккуратный доктор, развеялись все мои сомнения и страхи. Провел пластику десны, я довольна и счастлива.
Золотова Ольга николаевна
10 марта 2022
При первичном осмотре Варвара Ринатовна подробно рассказала о текущем состоянии десен и предложила методику и порядок лечения. После утверждения плана и графика посещения ее умелые и мягкие руки слажено приступили к работе. При этом доктор постоянно очень четко и деликатно объясняет свои действия. Ощущается удивительная синхронизация решений и действий. Все виртуозные манипуляции доктора чудесным образом сочетаются с четким мышлением. К такому доктору испытываешь доверие. Красивая работа красивого человека. Спасибо, доктор!
Денис
21 января 2022
Хочу выразить огромную благодарность доктору Деминой Милане! Обращался в клинику для проведения пластики десны с целью закрытия рецессий. Для меня это первая и достаточно сложная операция, продлившаяся не один час. Но в таких нежных и заботливых руках время пролетело незаметно. Перед операцией доктор рассказала, как будет проведена операция, что будет выполнено. Ни одного лишнего движения и суеты. Доктор и ассистент выполняли свою работу очень профессионально, дискомфорта никакого не ощущал. В процессе проведения операции девушки постоянно интересовались моим состоянием, в общем порхали вокруг как бабочки. После операции, Милана обстоятельно объяснила какие процедуры мне необходимо выполнять в послеоперационный период, написала какие препараты необходимо принять в случае болезненных ощущений, как необходимо ухаживать за полостью рта. После этого у меня не оставалось ни одного вопроса. Милана Вы большой профессионал своего дела, доктор с большой буквы и просто красавица! Желаю Вам успехов в работе, а клиника должна дорожить таким персоналом!
Юлия
27 марта 2020
Ульви Рамизович - прекрасный врач, профессионал своего дела, компетентный, грамотный, заботливый, внимательный. Ульви Рамизович делал мне пластику десны (закрытие рецессии с применением трансплантата на переднем зубе) Врач подошёл к операции очень ответственно, изучил весь мой анамнез, все особенности. Операция прошла на высшем уровне! Профессионально и очень аккуратно! После операции были выданы правильные и подробные рекомендации. Я очень рада, что меня записали именно к Ульви Рамизовичу. Благодарю за это координатора Марину Николаевну! При общении с Мариной Николаевной во всем чувствуется компетентность, клиентоориентированность, забота, отзывчивость и доброжелательность! Также хотела бы выразить благодарность ассистенту Милане, которая ассистировала в течение всего процесса. Всем своим знакомым рекомендую Вашу клинику и Ваших врачей!

Команда Дентал Белгравия: спасибо вам большое за такие теплые слова и за рекомендации - это очень важно! Очень рады, что помогли вам! Доброго здоровья!
С сайта ZOON.RU
06 июня 2019
Проходила лечение по закрытию рецессий у Ашурова Романа Сииновича. Очень рада что попала именно в эту клинику к квалифицированным специалистам. Процедура прошла быстро и безболезненно, как и последующий период реабилитации. Доктор с большой буквы. Все подробно рассказали перед процедурой, в ходе лечения постоянно спрашивали: » все ли хорошо», » не делают ли мне не приятно». После дали рекомендации и в подарок хирургический набор для ухода за областью где проводилась манипуляция. Спасибо за Ваше доброжелательное, трепетное и внимательное отношение! Очень рада, что попала именно к Вам. 


Команда Белгравия:  Любовь, благодарим за лестный отзыв! Роман Сиинович — волшебник! :-) Целиком и полностью соглашаемся с вами! :-) Приходите к нам!


01 / 10
Лечащие врачи
Врач высшей категории, стоматолог-терапевт, эндодонтист, пародонтолог, главный врач клиники на Речном вокзале
Первичный прием

4 000 ₽
Вы оставляете заявку на ПЕРВЫЙ прием к врачу. Если вы уже наблюдаетесь у нас, позвоните
Стоматолог-терапевт, эндодонтист, пародонтолог, врач высшей категории, главный врач клиники на Проспекте Мира
Первичный прием

4 000 ₽
Вы оставляете заявку на ПЕРВЫЙ прием к врачу. Если вы уже наблюдаетесь у нас, позвоните
Главный пародонтолог Медгруппы Фэнтези
Нет записи к специалисту
Пародонтолог, врач первой категории
Первичный прием

8 100 ₽
Вы оставляете заявку на ПЕРВЫЙ прием к врачу. Если вы уже наблюдаетесь у нас, позвоните
Пародонтолог
Первичный прием

7 400 ₽
Вы оставляете заявку на ПЕРВЫЙ прием к врачу. Если вы уже наблюдаетесь у нас, позвоните
Стоматолог-хирург, имплантолог, пародонтолог
Первичный прием

3 300 ₽
Вы оставляете заявку на ПЕРВЫЙ прием к врачу. Если вы уже наблюдаетесь у нас, позвоните

 Вопросы и ответы

Рецессия (ее еще называют опусканием или опущением десны) — это дефицит десневой ткани. Десны «отступают» от зубов, обнажая их шейки и корни. У корней нет защитного слоя, и отступающая десна открывает их внешним воздействиям. У пациентов с рецессией десны чаще диагностируют кариес корня.

На ранних стадиях опущение десны вызывает повышенную чувствительность зубов, а на поздних стадиях зубы приобретают подвижность и даже выпадают.

Поэтому к рецессии десны стоит относиться как к серьезному заболеванию и начинать лечение незамедлительно.

Десна — это часть слизистой оболочки полости рта. Она начинается от слизисто-десневой (мукогингивальной) границы и покрывает альвеолярный отросток. Заканчивается десна в области шеек зубов, окружая их кольцом.

Десна делится на:

  • свободную (или краевую) десну;
  • прикрепленную десну;
  • межзубную десну.

Здоровая десна — бледно-розового цвета, а у ее поверхности есть рельеф.

Когда развивается рецессия, краевая десна отступает, обнажая корень и шейку зуба. Рецессия может затронуть и свободную, и прикрепленную десну.

Основные причины рецессии:

  • Нарушение прикуса. Любой дефект прикуса (особенно так называемый глубокий прикус) вызывает неравномерное распределение жевательной нагрузки, и развивается опущение десны.
  • Слишком активная чистка зубов (горизонтальными движениями, с сильным нажимом), при которой происходит травма десны;
  • Плохая гигиена. Если пациент нерегулярно и недостаточно тщательно чистит зубы, не пользуется (или неправильно пользуется) зубной нитью и межзубными ершиками, налет накапливается и затвердевает. Это может вызвать разные заболевания десен, в том числе, рецессию;
  • Пирсинг губ или языка — украшения могут так сильно раздражать десны, что начинается рецессия;
  • Бруксизм. Неосознанное стискивание челюстей и скрип зубами;
  • Травмы десны;
  • Гормональные изменения у женщин. Колебания гормонов в период полового созревания, беременности и менопаузы делают их десну более уязвимой для рецессии;
  • Некоторые заболевания (например, пародонтит).

Существуют особенности строения, которые повышают риск развития рецессии. Это тонкие от природы десны, аномальное расположение зубов, строение альвеолярных отростков, при котором десневая ткань недостаточно снабжается кровью.

Есть мнение, что рецессия десны — нормальный возрастной процесс. Но на самом деле — это заболевание, которое может привести к серьезным последствиям, и которое обязательно нужно лечить.

Правильно изготовленная и корректно установленная коронка не может стать причиной рецессии.

  • Рецессия десны повышает чувствительность зубов
  • Удлиненные зубы с большими промежутками между ними выглядят не слишком эстетично.
  • Если не устранить причину рецессии, она будет прогрессировать и может привести даже к потере зубов!

Опущение десны прогрессирует медленно и на начальных стадиях развивается практически бессимптомно. Объем десны постепенно уменьшается, ее край отступает, зубы начинают выглядеть удлиненными.

На поздних стадиях болезни десна уже не удерживает зубы, они начинают шататься и выпадают. Если диагноз поставлен на начальной стадии, рецессию можно вылечить быстро и полностью.

Лечением опущения десны занимаются два специалиста: пародонтолог и хирург.

В зависимости от причины заболевания будет составлен план лечения. Пародонтолог поставит диагноз и подготовит пациента к микрохирургической операции — пластике десны, которую проведет хирург.

  • десны кровоточат во время чистки зубов;
  • ярко-красные опухшие десны;
  • неприятный запах изо рта (галитоз);
  • боль в деснах;
  • зубы реагируют на пищу;
  • оголение шейки и корня зуба;
  • выемка на линии десны;
  • подвижные зубы.

При появлении любого из этих симптомов стоит сразу обратиться к врачу.

1-я степень, легкая: край десны отодвигается не более, чем на 3 мм.

2-я степень, средняя: край десны смещается на 3-5 мм.

3-я степень, тяжелая: десна отступает более, чем на 6 мм.

Опущение десны — это не только эстетическая, но и медицинская проблема, которую ни в коем случае нельзя игнорировать. Чем раньше поставлен диагноз и начато лечение, тем легче и быстрее оно пройдет. Без лечения болезнь будет развиваться и может вызвать серьезные последствия, среди которых:

  • Повышенная чувствительность зубов: тщательно чистить зубы — больно, гигиена ухудшается, скапливается налет, который приводит к кариесу;
  • Кариес в области корня зуба. Корень менее устойчив к кариесу, чем эмаль, поэтому кариес развивается быстро и часто приводит к пульпиту и периодонтиту;
  • Клиновидный дефект эмали;
  • Воспаление десен;
  • Формирование глубоких пародонтальных карманов;
  • Расшатывание и выпадение зубов.

Если вы заметили, что объем ваших десен уменьшается (или у вас появились другие симптомы опущения десны), стоит показаться стоматологу-пародонтологу как можно скорее: если «поймать» рецессию на начальной стадии, ее гораздо легче вылечить.

Диагностический осмотр проводится с помощью медицинской оптики: дентального микроскопа или бинокуляров. Во время осмотра врач оценивает объем и характер повреждений.

Лечение всегда начинается с коррекции навыка индивидуальной гигиены. Если у пациента нет пародонтита, перед операцией обязательно проводится профессиональная гигиена полости рта.

Если обнаружен пародонтит, задача врача — сначала стабилизировать заболевание, добиться уменьшения пародонтальных карманов до нормальных размеров.

Терапевтическое лечение помогает справиться с воспалением десны, но основное лечение — микрохирургическая операция, пластика десны.

Пластика десны — самый надежный и самый популярный способ лечения рецессии, с понятным прогнозом и сравнительно быстрым результатом. Эта микрохирургическая операция проходит с пересадкой собственных тканей пациента или без нее. Чем раньше сделана пластика, тем лучше результат и меньше вмешательство. Выполняют эту процедуру хирурги-стоматологи.

Через некоторое время после операции на десне не остается никаких следов — она выглядит абсолютно здоровой.

Другой современный вариант лечения — тоннельная техника с использованием микротрансплантатов. Она позволяет достичь высоких эстетических, максимально предсказуемых, результатов и поможет в самых сложных ситуациях.

Операция проводится за 1 визит, продолжается от 30 минут (в случае, если рецессия только у одного зуба). Сразу после процедуры вы сможете идти домой.

Для операции достаточно местного обезболивания, но, по вашему желанию, мы можем добавить поверхностную седацию с закисью азота — она отлично расслабляет и успокаивает. Если вы не хотите «присутствовать» при операции, или предстоит объемное вмешательство (в случае множественной рецессии) мы можем предложить глубокую седацию: вы заснете и проснетесь, когда все закончится.

После пластики десны могут возникнуть:

  • Боль в прооперированной области — снимается обезболивающими препаратами;
  • Отек — нормальная реакция организма на оперативное вмешательство. Он начнет спадать примерно через трое суток;
  • Повышение температуры до 38 в течение первых нескольких суток после операции;
  • Гематома (синяк) на месте операции — обычно появляется на 2-3 сутки;
  • Онемение или снижение чувствительности тканей в прооперированной области — проходит со временем
  • Выделение сукровицы в области операции (после пересадки — в области неба).

Все эти симптомы — абсолютно нормальны, и пугаться их не нужно.

В большинстве случаев пластика десны проходит без осложнения. Но всегда нужно быть внимательным к своему состоянию после операции. Есть признаки, которые могут говорить о послеоперационных осложнениях. Если они появились, нужно обратиться к врачу:

  • Боль не проходит (или усиливается) больше 5-ти суток;
  • Сохраняется (или усиливается) кровоточивость в области операции более суток. Если прооперированная область сильно кровоточит, нужно немедленно обратиться к врачу!
  • Отек не уменьшается по истечении 5-ти суток.

Обращайтесь к врачу, если у вас возникли любые вопросы или сомнения.

Все специалисты клиник Дентал Белгравия работают по принципам доказательной медицины. Поэтому мы назначаем только медикаменты и процедуры с доказанной эффективностью. Народные средства к ним не относятся.

Рецессию десен можно предотвратить, если следовать этим рекомендациям:

  • Регулярно проходите профилактические осмотры у стоматолога и делайте профессиональную гигиену каждые полгода. Это защитит зубы от образования камней и поможет распознать болезнь в самом начале, когда ее легко вылечить;
  • Не запускайте и вовремя лечите стоматологические заболевания;
  • Попросите своего врача подобрать для вас средства для домашней гигиены;
  • Пользуйтесь зубной нитью и межзубными ершиками — качество домашней гигиены станет намного лучше;
  • Постарайтесь не травмировать слизистую слишком жесткой щеткой;
  • Откажитесь от курения — оно ухудшает кровоснабжение, и зубной налет образуется быстрее.

Прогноз лечения зависит от стадии болезни и ее причины. Чем раньше обнаружена рецессия десен, тем больше шансов на ее быстрое и полное излечение.

Вы можете записаться на прием, позвонив по телефону: +7 495 106-81-81 или заполнив форму на сайте. Мы подберем для вас удобное время визита. У вас будет персональный медицинский координатор, который поможет вам на протяжении всего процесса лечения.

Лечение рецессии десны: цена
Прием пародонтолога
от  7 400 ₽
Лоскутная операция в области 1 зуба
от 9 700 ₽
Поддесневая инструментальная обработка в области 1 зуба
от  4 900 ₽
Поддерживающее пародонтологическое лечение
от 22 000 ₽
Наш блог
1 / 13
Хирургия
29.11.2025
Можно ли удалять зуб рядом с имплантом
Имплантация
Можно ли ставить имплант при неправильном прикусе
25.11.2025
Можно ли ставить имплант при неправильном прикусе
Профилактика и отбеливание
Чем опасен зубной камень
18.11.2025
Чем опасен зубной камень
Общие вопросы
Неприятный запах: почему он появляется, когда чистишь нитью между зубами
01.12.2025
Неприятный запах: почему он появляется, когда чистишь нитью между зубами
Профилактика и отбеливание
Как убрать темный налет между зубами: эффективные методы
30.11.2025
Как убрать темный налет между зубами: эффективные методы
Наши рекомендации
Чем чистить межзубные промежутки: способы и рекомендации стоматолога
23.11.2025
Чем чистить межзубные промежутки: способы и рекомендации стоматолога
Общие вопросы
Болит десна между зубами: причины и что делать
03.11.2025
Болит десна между зубами: причины и что делать
Протезирование (Ортопедия)
Как восстановить зубы без имплантации: обзор методов
29.11.2025
Как восстановить зубы без имплантации: обзор методов
Имплантация
Имплантация при отсутствии костной ткани: можно ли и какие есть варианты
25.11.2025
Имплантация при отсутствии костной ткани: можно ли и какие есть варианты
Имплантация
Ставят ли импланты на место передних зубов
31.10.2025
Ставят ли импланты на место передних зубов
Имплантация
Имплантация после съемных протезов
27.11.2025
Имплантация после съемных протезов
Наши рекомендации
Если нет жевательных зубов: что можно сделать для восстановления
03.11.2025
Если нет жевательных зубов: что можно сделать для восстановления
7 причин доверить лечение Дентал Белгравия
01 / 07
Диагностика — с ИИ Diagnocat
01
Искусственный интеллект — для полной и безошибочной диагностики. Вы сразу получаете второе независимое мнение ИИ о вашем здоровье. 

Диагностика — с ИИ Diagnocat
Имплантация — с искусственным интеллектом
02
Точнейшее планирование сложного лечения — максимально надежный результат.
Без риска потратить деньги впустую.
Имплантация — с искусственным интеллектом
Коммуникация при помощи ChatGPT
03
ИИ фиксирует все, что вы обсуждаете в кабинете (с вашего разрешения). Все внимание доктора – на вас, а медкарту заполняет ИИ. Мы экономим ваше время!
Коммуникация при помощи ChatGPT
Цифровые виниры
04
Примерьте будущую улыбку в первый визит! Мы создадим вашу цифровую 2D-модель в программе Smilecloud. Вы получите идеальные виниры быстро — всего за несколько дней.
Цифровые виниры
Полный антистресс!
05
У нас успешно лечатся те, кто раньше всегда боялся стоматологов. Предельно безопасная седация, лечение во сне. Проснулись — а лечение закончено!
Полный антистресс!
Лечим взрослых, как детей
06
Так же бережно, нежно и терпеливо. Окружим вас вниманием и заботой
Лечим взрослых, как детей
Дентал Белгравия — стоматология №1 в России
07
Лучшая стоматология России в 2025 году — по рейтингу StartSmile Top и Forbes!
Дентал Белгравия — стоматология №1 в России
01 / 07
Наши клиники

Метро Киевская, выход № 5. Перейдите на противоположную сторону площади Киевского вокзала и поверните направо, во 2-й Брянский переулок.

После этого первый поворот налево на Брянскую улицу. Нужный вам дом — четвертый по левой стороне — серое 4-этажное здание.

Вход с вывеской «Медицинский центр доктора Александровского».

Из центра. По Большой Дорогомиловской из центра, поверните налево во 2-й Брянский переулок, потом первый поворот направо на Брянскую улицу. Нужный вам дом — четвертый по левой стороне — серое 4-этажное здание.

Из области. По Большой Дорогомиловской в сторону центра, поверните направо во 2-й Брянский переулок, потом первый поворот направо на Брянскую улицу. Нужный вам дом — четвертый по левой стороне — серое 4-этажное здание.

Парковка: слева от здания клиники (если смотреть на центральный вход), напротив «Сбербанка», въезд во двор через зону охраны.

Вход с вывеской «Медицинский центр доктора Александровского» с улицы.

Подробно

Метро Кунцевская (Арбатско-Покровская или Филевская линия), первый вагон из центра. Из стеклянных дверей поворачиваете налево до лестницы, спускаетесь вниз и следуете до пешеходного перехода.

Далее после пешеходного перехода двигаетесь вверх, придерживаясь левой стороны.

По правую сторону от вас находится крытый паркинг, проходите мимо него вверх до ворот, заходите на территорию жилого комплекса и поворачиваете налево, 50м прямо и поднимаетесь вверх по лестнице. Вход в клинику находится на уровне 2 этажа со стороны Молодогвардейской улицы.

Время пешком от метро - около 8-10 минут. Ориентир - три красно-белых высоких дома, Дентал Белгравия находится в первом из них. Ждем вас!

Воспользуйтесь сервисом «Отправить геопозицию». Вы получите координаты клиники или сообщением .

Парковка: на территории жилого комплекса есть бесплатная парковка. 

Вход в клинику находится на уровне 2 этажа со стороны Молодогвардейской улицы.

Подробно

Выход из станции метро Проспект Мира (кольцевая), из стеклянных дверей повернуть налево, идти 1 минуту до дома 36, cтр.1. Это здание Согласие Hall. Зайдите в главный вход, клиника находится на 6 этаже.

Воспользуйтесь сервисом «Отправить геопозицию». Вы получите координаты клиники или сообщением .

Парковка: во дворе дома 36, стр.1 (это здание Согласие Hall) находится бесплатный охраняемый паркинг. Заезд на парковку с Проспекта Мира (двигаясь из центра). Парковочное место необходимо заказать при записи, назвав администратору номер машины. 

Подробно

На станции метро Речной вокзал выйти из первого вагона, повернуть направо, обойти вестибюль метро, на первом перекрестке - повернуть налево и пройти около 100 метров в сторону Ленинградского шоссе. Здание клиники - по левую руку. До клиники от метро идти 2 минуты.

Воспользуйтесь сервисом «Отправить геопозицию». Вы получите координаты клиники или сообщением .

Парковка: во дворе дома 92А находится бесплатный охраняемый паркинг. Код для въезда вам сказал администратор при подтверждении визита. Если будут сложности со въездом, звоните +7 495 106-42-22.

Подробно

Станция метро «Новые Черемушки». Последний вагон из центра, из стеклянных дверей налево, выход к ТЦ «Панорама». Идти (10-12 минут) прямо до пересечения ул. Архитектора Власова и ул. Гарибальди. 

Воспользуйтесь сервисом «Отправить геопозицию». Вы получите координаты клиники или сообщением .

Парковка: возле дома по ул. Гарибальди, 15 – бесплатная парковка. Как правило, парковочных мест достаточно.

Подробно

Адрес ул. Ефремова, д. 10, к. 2, ЖК "Садовые кварталы". Вход и въезд через третью башню ЖК, ориентир - красный козырек клиники МРТ.

Видео-маршрут: https://rutube.ru/video/f5393248bf7ccc3d42ad180dd5135cb6/

Метро Фрунзенская. После турникетов поверните налево за МДМ Дальше идите прямо по улице Ефремова до д. 10, к. 2. С правой стороны будут ворота в закрытый комплекс «Садовые кварталы». Пожалуйста, напишите нам в WhatsApp. Мы вас сразу встретим у ворот и проводим в клинику.

Воспользуйтесь сервисом «Отправить геопозицию». Вы получите координаты клиники или сообщением .

Адрес ул. Ефремова, д. 10, к. 2, ЖК "Садовые кварталы". Вход и въезд через третью башню ЖК, ориентир - красный козырек клиники МРТ.

Заезд на парковку через двойной шлагбаум, у въезда вас встретит консьерж и сопроводит на парковочное место. Если пропуск не заказан заранее, или вам сложно найти въезд, напишите нам в WhatsApp.Поможем оперативно!
Бесплатная парковка предоставляется нашим пациентам ТОЛЬКО на время приема.

Видео-маршрут пешком от метро Фрунзенская: https://rutube.ru/video/f5393248bf7ccc3d42ad180dd5135cb6/


Подробно

Метро Киевская, выход № 5. Перейдите на противоположную сторону площади Киевского вокзала и поверните направо, во 2-й Брянский переулок.

После этого первый поворот налево на Брянскую улицу. Нужный вам дом — четвертый по левой стороне — серое 4-этажное здание.

Вход с вывеской «Медицинский центр доктора Александровского».

Из центра. По Большой Дорогомиловской из центра, поверните налево во 2-й Брянский переулок, потом первый поворот направо на Брянскую улицу. Нужный вам дом — четвертый по левой стороне — серое 4-этажное здание.

Из области. По Большой Дорогомиловской в сторону центра, поверните направо во 2-й Брянский переулок, потом первый поворот направо на Брянскую улицу. Нужный вам дом — четвертый по левой стороне — серое 4-этажное здание.

Парковка: слева от здания клиники (если смотреть на центральный вход), напротив «Сбербанка», въезд во двор через зону охраны.

Вход с вывеской «Медицинский центр доктора Александровского» с улицы.

Подробно

Метро Кунцевская (Арбатско-Покровская или Филевская линия), первый вагон из центра. Из стеклянных дверей поворачиваете налево до лестницы, спускаетесь вниз и следуете до пешеходного перехода.

Далее после пешеходного перехода двигаетесь вверх, придерживаясь левой стороны.

По правую сторону от вас находится крытый паркинг, проходите мимо него вверх до ворот, заходите на территорию жилого комплекса и поворачиваете налево, 50м прямо и поднимаетесь вверх по лестнице. Вход в клинику находится на уровне 2 этажа со стороны Молодогвардейской улицы.

Время пешком от метро - около 8-10 минут. Ориентир - три красно-белых высоких дома, Дентал Белгравия находится в первом из них. Ждем вас!

Воспользуйтесь сервисом «Отправить геопозицию». Вы получите координаты клиники или сообщением .

Парковка: на территории жилого комплекса есть бесплатная парковка. 

Вход в клинику находится на уровне 2 этажа со стороны Молодогвардейской улицы.

Подробно

Выход из станции метро Проспект Мира (кольцевая), из стеклянных дверей повернуть налево, идти 1 минуту до дома 36, cтр.1. Это здание Согласие Hall. Зайдите в главный вход, клиника находится на 6 этаже.

Воспользуйтесь сервисом «Отправить геопозицию». Вы получите координаты клиники или сообщением .

Парковка: во дворе дома 36, стр.1 (это здание Согласие Hall) находится бесплатный охраняемый паркинг. Заезд на парковку с Проспекта Мира (двигаясь из центра). Парковочное место необходимо заказать при записи, назвав администратору номер машины. 

Подробно

На станции метро Речной вокзал выйти из первого вагона, повернуть направо, обойти вестибюль метро, на первом перекрестке - повернуть налево и пройти около 100 метров в сторону Ленинградского шоссе. Здание клиники - по левую руку. До клиники от метро идти 2 минуты.

Воспользуйтесь сервисом «Отправить геопозицию». Вы получите координаты клиники или сообщением .

Парковка: во дворе дома 92А находится бесплатный охраняемый паркинг. Код для въезда вам сказал администратор при подтверждении визита. Если будут сложности со въездом, звоните +7 495 106-42-22.

Подробно

Станция метро «Новые Черемушки». Последний вагон из центра, из стеклянных дверей налево, выход к ТЦ «Панорама». Идти (10-12 минут) прямо до пересечения ул. Архитектора Власова и ул. Гарибальди. 

Воспользуйтесь сервисом «Отправить геопозицию». Вы получите координаты клиники или сообщением .

Парковка: возле дома по ул. Гарибальди, 15 – бесплатная парковка. Как правило, парковочных мест достаточно.

Подробно

Адрес ул. Ефремова, д. 10, к. 2, ЖК "Садовые кварталы". Вход и въезд через третью башню ЖК, ориентир - красный козырек клиники МРТ.

Видео-маршрут: https://rutube.ru/video/f5393248bf7ccc3d42ad180dd5135cb6/

Метро Фрунзенская. После турникетов поверните налево за МДМ Дальше идите прямо по улице Ефремова до д. 10, к. 2. С правой стороны будут ворота в закрытый комплекс «Садовые кварталы». Пожалуйста, напишите нам в WhatsApp. Мы вас сразу встретим у ворот и проводим в клинику.

Воспользуйтесь сервисом «Отправить геопозицию». Вы получите координаты клиники или сообщением .

Адрес ул. Ефремова, д. 10, к. 2, ЖК "Садовые кварталы". Вход и въезд через третью башню ЖК, ориентир - красный козырек клиники МРТ.

Заезд на парковку через двойной шлагбаум, у въезда вас встретит консьерж и сопроводит на парковочное место. Если пропуск не заказан заранее, или вам сложно найти въезд, напишите нам в WhatsApp.Поможем оперативно!
Бесплатная парковка предоставляется нашим пациентам ТОЛЬКО на время приема.

Видео-маршрут пешком от метро Фрунзенская: https://rutube.ru/video/f5393248bf7ccc3d42ad180dd5135cb6/


Подробно

Метро Киевская, выход № 5. Перейдите на противоположную сторону площади Киевского вокзала и поверните направо, во 2-й Брянский переулок.

После этого первый поворот налево на Брянскую улицу. Нужный вам дом — четвертый по левой стороне — серое 4-этажное здание.

Вход с вывеской «Медицинский центр доктора Александровского».

Из центра. По Большой Дорогомиловской из центра, поверните налево во 2-й Брянский переулок, потом первый поворот направо на Брянскую улицу. Нужный вам дом — четвертый по левой стороне — серое 4-этажное здание.

Из области. По Большой Дорогомиловской в сторону центра, поверните направо во 2-й Брянский переулок, потом первый поворот направо на Брянскую улицу. Нужный вам дом — четвертый по левой стороне — серое 4-этажное здание.

Парковка: слева от здания клиники (если смотреть на центральный вход), напротив «Сбербанка», въезд во двор через зону охраны.

Вход с вывеской «Медицинский центр доктора Александровского» с улицы.

Подробно
«Новые Черемушки» – ближайшая станция метро. Последний вагон из центра, после стеклянных дверей поверните направо, на улицу Гарибальди. Следуйте вниз по улице вдоль дома №36. После Сбербанка поверните направо в арку (2-я по счету от начала дома). Клиника находится справа за шлагбаумом. Время в пути: 7-10 минут.
Двигайтесь из центра по Профсоюзной улице, поверните налево на ул. Гарибальди, д. 36. Въезд – во вторую арку. Ориентир – пешеходный переход, сразу за которым поверите налево.
Подробно
Киевская  Новая клиника!
Брянская улица, 7

Метро Киевская, выход № 5. Перейдите на противоположную сторону площади Киевского вокзала и поверните направо, во 2-й Брянский переулок.

После этого первый поворот налево на Брянскую улицу. Нужный вам дом — четвертый по левой стороне — серое 4-этажное здание.

Вход с вывеской «Медицинский центр доктора Александровского».

Из центра. По Большой Дорогомиловской из центра, поверните налево во 2-й Брянский переулок, потом первый поворот направо на Брянскую улицу. Нужный вам дом — четвертый по левой стороне — серое 4-этажное здание.

Из области. По Большой Дорогомиловской в сторону центра, поверните направо во 2-й Брянский переулок, потом первый поворот направо на Брянскую улицу. Нужный вам дом — четвертый по левой стороне — серое 4-этажное здание.

Парковка: слева от здания клиники (если смотреть на центральный вход), напротив «Сбербанка», въезд во двор через зону охраны.

Вход с вывеской «Медицинский центр доктора Александровского» с улицы.

Подробно
Наши проекты
Дентал Фэнтези
детская стоматология
Фэнтези
педиатрическая клиника
Diagnocat
искусственный интеллект
Работа в ГК Фэнтези
открытые вакансии

*
Социальная сеть Instagram принадлежит компании Meta Platforms Inc., которая запрещена на территории РФ

English version English version

Колл-центр: (8:00–22:00), call@fantasyclinic.ru

Для связи по PR-вопросам: pr@fantasyclinic.ru

© 2026 Все права защищены
Имеются противопоказания. Проконсультируйтесь со специалистом Имеются противопоказания. Проконсультируйтесь со специалистом