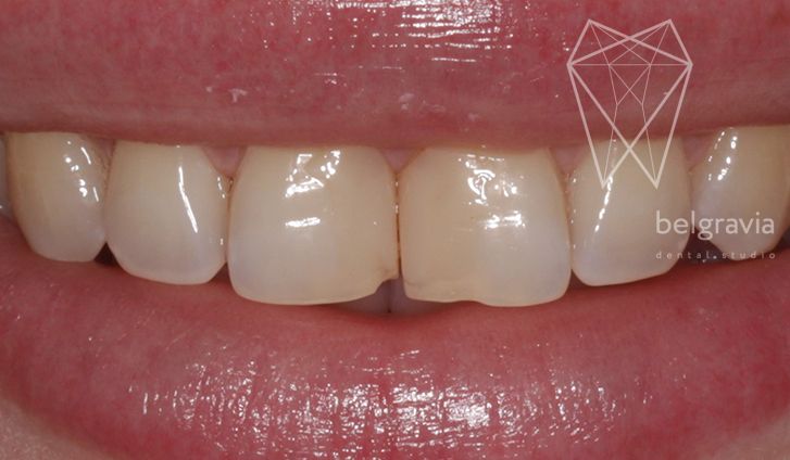
Композитные виниры

Что это такое? Композитные виниры (иногда их называют «компониры») — это реставрация зубов с помощью композитного материала. В нашей клинике мы называем это художественной реставрацией. Композит слой за слоем наносится на фронтальную часть зубов в зоне улыбки. Композитные виниры устанавливаются стоматологом всего за один визит.

Наши стоматологи — лучшие специалисты в эстетике. Мы работаем с современными материалами, под дентальным микроскопом — это позволяет нам получить идеальный результат.

от 43 000 ₽
Вы оставляете заявку на ПЕРВЫЙ прием к врачу. Если вы уже наблюдаетесь у нас, позвоните

Какие проблемы решают композитные виниры?

Композитными винирами можно быстро исправить видимые недостатки зубов. Этот вариант эстетической реставрации подойдёт, если у вас:

  • большие межзубные промежутки, щели (диастема);
  • скол зуба в результате травмы;
  • трещины, сколы эмали;
  • непропорциональный размер зубов, короткая коронковая часть;
  • дефекты эмали: потемнения, желтизна, пятна;
  • в зоне улыбки старые неэстетичные пломбы;
  • присутствует повышенная стираемость, клиновидный дефект, неровности в ряду.
01 / 04

Нужны композитные виниры (эстетическая реставрация зубов)? 3 причины выбрать Дентал Белгравия

Наши доктора всегда выполняют художественную реставрацию под микроскопом. Это увеличение в 25 раз! Гарантия максимально точного и бережного лечения.

Мы обязательно используем латексную изоляцию зубов коффердамом. Это золотой стандарт в современной стоматологии. Рабочее поле остается сухим, и композитный материал надежно фиксируется на зуб.

Главное для нас — ваш комфорт. Все сделаем очень нежно, а вы посмотрите любимый фильм на экране. Еще можем предложить легкую седацию, чтобы вы совсем не волновались.

Результаты до/после
01 / 08
До
После
Художественная реставрация зубов композитным материалом
Доктор: Логвиненко Мария
Клиника: Кунцевская
Подробно
До
После
Эстетическая реставрация зубов композитным материалом
Доктор: Логвиненко Мария
Клиника: Кунцевская
Подробно
До
После
Лечение клиновидного дефекта
Доктор: Петросян Татьяна
Клиника: Речной вокзал
Подробно
До
После
Эстетическая реставрация передних зубов
Доктор: Логвиненко Мария
Клиника: Кунцевская
Подробно
До
После
Эстетическая реставрация зубов
Доктор: Внукова (Кусткова) Анастасия
Клиника: Проспект Мира
Подробно
До
После
Реставрация зуба в зоне улыбки
Доктор: Внукова (Кусткова) Анастасия
Клиника: Проспект Мира
Подробно
До
После
Вылечили пришеечный кариес, сделали эстетическую реставрацию улыбки
Доктор: Экажева Фатима
Клиника: Речной вокзал
Подробно
До
После
Эстетическая реставрация передних зубов
Доктор: Логвиненко Мария
Клиника: Кунцевская
Подробно
01 / 08
У вас похожий случай? Мы поможем! Запишитесь на прием!
Позвоните нам или запишитесь по Telegram
Позвоните нам или запишитесь по Telegram

Нажимая на кнопку, вы даете согласие на обработку персональных данных

Позвоните нам или запишитесь по Telegram
Позвоните нам или запишитесь по Telegram
Композитные виниры: отзывы пациентов Дентал Белгравия
01 / 10
Яна
29 сентября 2023
Мне посчастливилось попасть к профессионалу - Липец Анне Сергеевне. Врач провела тщательный осмотр, сфотографировала зубы, рассказала про предстоящую нам работу. По итогу - через две недели у меня уже были зубы))) Все приемы проходили максимально комфортно и безопасно. Так же хочу отметить ассистента Ирину, которая во всем помогала. Прекрасный тандем. Спасибо врачу за улыбку мечты!)
Наталия
06 сентября 2023
Выражаю Благодарность своему доктору Кочергину Д.В. сегодня начали протезирование и хочу сказать, что это настоящий Профессионал! Слаженная работа доктора и ассистента!
Марина
21 июля 2023
Примите мои благодарности все, кто принимал участие в моем "преображении"!!! Анну Сергеевну Липец знаю много лет. Руки золотые, при этом красивая, обаятельная умница. Ее ассистент Ирина, с которой у них взаимопонимание на уровне взглядов. Хирург Вольберг Роман Вячеславович, с которым ничего НЕ страшно и НЕ больно. И, конечно, спасибо пребольшое всем сотрудникам ресепшн, медицинским координаторам Екатерине и Марии за их неизменное внимание ко всем просьбам, за их искреннее желание помочь пациенту. Будьте, пожалуйста, все здоровы и благополучны!
Нинель
20 апреля 2023
Очень благодарна доктору, Наумовой В.П. Стоматолог-ортопед. За профессионализм, за ваше умение сделать улыбку красивой, огромное Вам спасибо!
Светлана
04 ноября 2022
Была у доктора Григорян Артема Романовича. Замечательный специалист, безболезненно вылечил зуб. Видела фото ДО и ПОСЛЕ. Доктор проделал ювелирную работу. Так же хотела отметить ортопеда Фисенко Владислава Романовича- работает четко, быстро и качественно. Атмосфера в кабинете позитивная, доктор с юмором, лечение прошло комфортно. За 4 месяца ни одна временная коронка не выпала, в отличии от моих предыдущих неудачных опытов в других клиниках. Отдельное спасибо ассистентам за их терпение и спасибо улыбчивым администраторам и координаторам. Сервис в клинике на 100 баллов.
Анастасия
31 июля 2022
Очень боюсь стоматологов :))результат плохие зубы ,остановилась на выборе клиник Belgravia dental studio .сначала записали на консультацию к доктору ортопеду Гикавый Владислав Леонтьевич ,получила ответы на все вопросы ,чёткий и понятный план лечения ,полное соблюдение финансового плана никаких сюрпризов в виде дополнительных опций ,клиника работает для людей :Рентген ,анестезия , при необходимости дополнительный приём ,подбор удобного времени для приема .Врачи заинтересованы в получении лучшего результата .клиника современная -оборудование лучшее !Результат у меня красивый новый зуб .Доктор Гикавый В.Л великолепный врач ,спасибо Вам за ваше обаяние ,профессионализм и легкую руку ,доктор делал так анестезию,что я даже и не чувствовала ,теперь если решать проблему с зубами ,то только в эту клинику :))
Елена Сергеевна
10 июня 2022
Добрый вечер!
Была на консультации у стоматолога - ортопеда Дмитрия Владимировича Кочергина, доктор наглядно показал и объяснил подробный план лечения. Я очень благодарна доктору за внимательность, вежливость и профессионализм, который встречаю впервые в жизни.
Еще очень благодарна всем работникам клиники за доброжелательность, атмосфера в клинике душевная. Спасибо!
Dmit74
29 января 2016
Вот и мне захотелось оставить свой отзыв. Невозможно просто словами благодарности выразить то, как чувствуешь себя, когда смотришь в зеркало после работы профессиональных врачей! Я очень боялся лечить зубы. Но попав к вам в клинику забыл о страхе. Лучших врачей в этой профессии я не встречал. Успокоили меня, всё подробно объяснили, начали лечение с самого простого - почистили зубы, поменяли старые пломбы на современные вкладки на задних жевательных зубах. А теперь уже и передние зубы отреставрировали - а за них то я больше всего переживал. Мной занимается целая команда врачей - терапевт Алексей Язев, ортопед Антон Кузнецов. Приятно, что доктора современные и взгляды на жизнь у нас схожи.
Алина Л.
09.07.2019
Хочу выразить сердечную благодарность всей клинике и команде врачей! Долго думал по поводу виниров, взвешивала все плюсы и минусы. Минус, конечно, это цена. Но все-таки решилась. Результат суперский: просто улыбка мечты! Спасибо вам. Даже денег не жалко :)
01 / 10
Лечащие врачи
Стоматолог-терапевт, эндодонтист, врач высшей категории, главный врач клиники в Новых Черемушках
Первичный прием

4 000 ₽
Наш администратор предложит вам удобный день и время приёма во время согласования записи
Вы оставляете заявку на ПЕРВЫЙ прием к врачу. Если вы уже наблюдаетесь у нас, позвоните
Стоматолог-терапевт, эндодонтист, врач высшей категории, главный врач клиники в Кунцево
Первичный прием

4 000 ₽
Вы оставляете заявку на ПЕРВЫЙ прием к врачу. Если вы уже наблюдаетесь у нас, позвоните
Врач высшей категории, стоматолог-терапевт, эндодонтист, пародонтолог, главный врач клиники на Речном вокзале
Первичный прием

4 000 ₽
Вы оставляете заявку на ПЕРВЫЙ прием к врачу. Если вы уже наблюдаетесь у нас, позвоните
Стоматолог-терапевт, эндодонтист, врач высшей категории, руководитель взрослого отделения клиники на Фрунзенской
Первичный прием

4 000 ₽
Вы оставляете заявку на ПЕРВЫЙ прием к врачу. Если вы уже наблюдаетесь у нас, позвоните
Стоматолог-терапевт, эндодонтист, пародонтолог, врач высшей категории, главный врач клиники на Проспекте Мира
Первичный прием

4 000 ₽
Вы оставляете заявку на ПЕРВЫЙ прием к врачу. Если вы уже наблюдаетесь у нас, позвоните
Стоматолог-терапевт
Первичный прием

3 300 ₽
Вы оставляете заявку на ПЕРВЫЙ прием к врачу. Если вы уже наблюдаетесь у нас, позвоните

4 вопроса о композитных винирах

Композитные виниры (эстетическая реставрация) — послойное нанесение на зубы эстетического композитного материала. Керамические виниры — фиксация на зубах керамических пластинок, изготовленных в лаборатории по индивидуальным слепкам. Реставрация подходит для устранения небольших недостатков. Если же вы хотите долгосрочный и идеальный эстетический эффект обратите внимание на керамические виниры. 

Плюсы "компониров":

  • виниры из композитных материалов фиксируются без препарирования зуба;
  • установка проводится всего в один прием;
  • стоимость композитных виниров обычно ниже, чем их керамических аналогов, поскольку не требуется снятия слепка и индивидуального изготовления в лабораторных условиях. 

Если вы планируете композитные виниры надолго, то столкнётесь с этими не очень приятными моментами:

  • композитные виниры не так идеально, как керамические, могут быть подобраны к цвету родной эмали зубов;
  • срок службы компониров — около пяти лет;
  • композитные виниры окрашиваются от пищевых красителей, со временем темнеют и теряют блеск;
  • компониры не способны выдерживать адекватную жевательную нагрузку. Возможны сколы;
  • необходимо проводить шлифование и полирование композитных виниров для придания утерянного блеска.

В большинстве случаев установка композитных виниров происходит в один прием у стоматолога-терапевта, специалиста по эстетическим реставрациям. Виниры из композита на зубы возможно поставить без существенного препарирования зуба: обрабатывается лишь зона, требующая воссоздания формы или цвета.

Доктор готовит поверхность зуба и послойно накладывает на нее реставрационный светополимерный материал. Материал становится твердым под воздействием специальной стоматологической лампы. Затем врач полирует поверхность винира, восстановленный зуб становится блестящим. 

Керамические виниры дороже, потребуется несколько визитов, нужно тщательно подходить к выбору ортопеда, но результат — и эстетический, и функциональный — будет гораздо лучше:

  • нет видимых переходов от реставрации к тканям родного зуба;
  • цвет не меняется. Керамика не впитывает никакие пищевые красители;
  • никаких регулярных «доработок» керамические виниры не требуют;
  • прочность: 15–20 лет при условии отличной гигиены и регулярных осмотров.

Вывод: если финансово возможно позволить себе установку керамических виниров, то лучше выбрать этот вариант. Если такой возможности нет, а красивая улыбка неотъемлемая часть вашего образа, тогда вполне можно установить композитные виниры. Чтобы в будущем, возможно, перейти на керамические виниры.

Композитные виниры: стоимость
Первичный прием врача-стоматолога категории "профи" (осмотр, фотопротокол, консультация, составление плана лечения)  
от 3 300* ₽
Эстетическая реставрация зуба
от 43 000 ₽
Наш блог
1 / 10
Протезирование (Ортопедия)
21.02.2025
Подготовка зубов для виниров
Общие вопросы
Изменение высоты прикуса
26.07.2022
Изменение высоты прикуса
Эстетическая стоматология
Керамические виниры. Реставрация зубов, как у звезд Голливуда
06.06.2021
Керамические виниры. Реставрация зубов, как у звезд Голливуда
Эстетическая стоматология
Стоматология Anti-Age - комплексный подход
10.09.2020
Стоматология Anti-Age - комплексный подход
Наши рекомендации
Вам восстановили зуб керамической вкладкой. Что важно?
12.01.2017
Вам восстановили зуб керамической вкладкой. Что важно?
Наши рекомендации
Вам провели реставрацию зуба (поставили пломбу). Что важно знать?
12.01.2017
Вам провели реставрацию зуба (поставили пломбу). Что важно знать?
Наши рекомендации
Вам восстановили зубы с помощью виниров. Что важно?
12.01.2017
Вам восстановили зубы с помощью виниров. Что важно?
Протезирование (Ортопедия)
Протезирование зубов без обточки
10.06.2016
Протезирование зубов без обточки
Протезирование (Ортопедия)
Зубное протезирование металлокерамикой
10.06.2016
Зубное протезирование металлокерамикой
7 причин доверить лечение Дентал Белгравия
01 / 07
Диагностика — с ИИ Diagnocat
01
Искусственный интеллект — для полной и безошибочной диагностики. Вы сразу получаете второе независимое мнение ИИ о вашем здоровье. 

Диагностика — с ИИ Diagnocat
Имплантация — с искусственным интеллектом
02
Точнейшее планирование сложного лечения — максимально надежный результат.
Без риска потратить деньги впустую.
Имплантация — с искусственным интеллектом
Коммуникация при помощи ChatGPT
03
ИИ фиксирует все, что вы обсуждаете в кабинете (с вашего разрешения). Все внимание доктора – на вас, а медкарту заполняет ИИ. Мы экономим ваше время!
Коммуникация при помощи ChatGPT
Цифровые виниры
04
Примерьте будущую улыбку в первый визит! Мы создадим вашу цифровую 2D-модель в программе Smilecloud. Вы получите идеальные виниры быстро — всего за несколько дней.
Цифровые виниры
Полный антистресс!
05
У нас успешно лечатся те, кто раньше всегда боялся стоматологов. Предельно безопасная седация, лечение во сне. Проснулись — а лечение закончено!
Полный антистресс!
Лечим взрослых, как детей
06
Так же бережно, нежно и терпеливо. Окружим вас вниманием и заботой
Лечим взрослых, как детей
Дентал Белгравия — стоматология №1 в России
07
Лучшая стоматология России в 2025 году — по рейтингу StartSmile Top и Forbes!
Дентал Белгравия — стоматология №1 в России
01 / 07
Наши клиники

Метро Киевская, выход № 5. Перейдите на противоположную сторону площади Киевского вокзала и поверните направо, во 2-й Брянский переулок.

После этого первый поворот налево на Брянскую улицу. Нужный вам дом — четвертый по левой стороне — серое 4-этажное здание.

Вход с вывеской «Медицинский центр доктора Александровского».

Из центра. По Большой Дорогомиловской из центра, поверните налево во 2-й Брянский переулок, потом первый поворот направо на Брянскую улицу. Нужный вам дом — четвертый по левой стороне — серое 4-этажное здание.

Из области. По Большой Дорогомиловской в сторону центра, поверните направо во 2-й Брянский переулок, потом первый поворот направо на Брянскую улицу. Нужный вам дом — четвертый по левой стороне — серое 4-этажное здание.

Парковка: слева от здания клиники (если смотреть на центральный вход), напротив «Сбербанка», въезд во двор через зону охраны.

Вход с вывеской «Медицинский центр доктора Александровского» с улицы.

Подробно

Метро Кунцевская (Арбатско-Покровская или Филевская линия), первый вагон из центра. Из стеклянных дверей поворачиваете налево до лестницы, спускаетесь вниз и следуете до пешеходного перехода.

Далее после пешеходного перехода двигаетесь вверх, придерживаясь левой стороны.

По правую сторону от вас находится крытый паркинг, проходите мимо него вверх до ворот, заходите на территорию жилого комплекса и поворачиваете налево, 50м прямо и поднимаетесь вверх по лестнице. Вход в клинику находится на уровне 2 этажа со стороны Молодогвардейской улицы.

Время пешком от метро - около 8-10 минут. Ориентир - три красно-белых высоких дома, Дентал Белгравия находится в первом из них. Ждем вас!

Воспользуйтесь сервисом «Отправить геопозицию». Вы получите координаты клиники или сообщением .

Парковка: на территории жилого комплекса есть бесплатная парковка. 

Вход в клинику находится на уровне 2 этажа со стороны Молодогвардейской улицы.

Подробно

Выход из станции метро Проспект Мира (кольцевая), из стеклянных дверей повернуть налево, идти 1 минуту до дома 36, cтр.1. Это здание Согласие Hall. Зайдите в главный вход, клиника находится на 6 этаже.

Воспользуйтесь сервисом «Отправить геопозицию». Вы получите координаты клиники или сообщением .

Парковка: во дворе дома 36, стр.1 (это здание Согласие Hall) находится бесплатный охраняемый паркинг. Заезд на парковку с Проспекта Мира (двигаясь из центра). Парковочное место необходимо заказать при записи, назвав администратору номер машины. 

Подробно

На станции метро Речной вокзал выйти из первого вагона, повернуть направо, обойти вестибюль метро, на первом перекрестке - повернуть налево и пройти около 100 метров в сторону Ленинградского шоссе. Здание клиники - по левую руку. До клиники от метро идти 2 минуты.

Воспользуйтесь сервисом «Отправить геопозицию». Вы получите координаты клиники или сообщением .

Парковка: во дворе дома 92А находится бесплатный охраняемый паркинг. Код для въезда вам сказал администратор при подтверждении визита. Если будут сложности со въездом, звоните +7 495 106-42-22.

Подробно

Станция метро «Новые Черемушки». Последний вагон из центра, из стеклянных дверей налево, выход к ТЦ «Панорама». Идти (10-12 минут) прямо до пересечения ул. Архитектора Власова и ул. Гарибальди. 

Воспользуйтесь сервисом «Отправить геопозицию». Вы получите координаты клиники или сообщением .

Парковка: возле дома по ул. Гарибальди, 15 – бесплатная парковка. Как правило, парковочных мест достаточно.

Подробно

Адрес ул. Ефремова, д. 10, к. 2, ЖК "Садовые кварталы". Вход и въезд через третью башню ЖК, ориентир - красный козырек клиники МРТ.

Видео-маршрут: https://rutube.ru/video/f5393248bf7ccc3d42ad180dd5135cb6/

Метро Фрунзенская. После турникетов поверните налево за МДМ Дальше идите прямо по улице Ефремова до д. 10, к. 2. С правой стороны будут ворота в закрытый комплекс «Садовые кварталы». Пожалуйста, напишите нам в WhatsApp. Мы вас сразу встретим у ворот и проводим в клинику.

Воспользуйтесь сервисом «Отправить геопозицию». Вы получите координаты клиники или сообщением .

Адрес ул. Ефремова, д. 10, к. 2, ЖК "Садовые кварталы". Вход и въезд через третью башню ЖК, ориентир - красный козырек клиники МРТ.

Заезд на парковку через двойной шлагбаум, у въезда вас встретит консьерж и сопроводит на парковочное место. Если пропуск не заказан заранее, или вам сложно найти въезд, напишите нам в WhatsApp.Поможем оперативно!
Бесплатная парковка предоставляется нашим пациентам ТОЛЬКО на время приема.

Видео-маршрут пешком от метро Фрунзенская: https://rutube.ru/video/f5393248bf7ccc3d42ad180dd5135cb6/


Подробно

Метро Киевская, выход № 5. Перейдите на противоположную сторону площади Киевского вокзала и поверните направо, во 2-й Брянский переулок.

После этого первый поворот налево на Брянскую улицу. Нужный вам дом — четвертый по левой стороне — серое 4-этажное здание.

Вход с вывеской «Медицинский центр доктора Александровского».

Из центра. По Большой Дорогомиловской из центра, поверните налево во 2-й Брянский переулок, потом первый поворот направо на Брянскую улицу. Нужный вам дом — четвертый по левой стороне — серое 4-этажное здание.

Из области. По Большой Дорогомиловской в сторону центра, поверните направо во 2-й Брянский переулок, потом первый поворот направо на Брянскую улицу. Нужный вам дом — четвертый по левой стороне — серое 4-этажное здание.

Парковка: слева от здания клиники (если смотреть на центральный вход), напротив «Сбербанка», въезд во двор через зону охраны.

Вход с вывеской «Медицинский центр доктора Александровского» с улицы.

Подробно

Метро Кунцевская (Арбатско-Покровская или Филевская линия), первый вагон из центра. Из стеклянных дверей поворачиваете налево до лестницы, спускаетесь вниз и следуете до пешеходного перехода.

Далее после пешеходного перехода двигаетесь вверх, придерживаясь левой стороны.

По правую сторону от вас находится крытый паркинг, проходите мимо него вверх до ворот, заходите на территорию жилого комплекса и поворачиваете налево, 50м прямо и поднимаетесь вверх по лестнице. Вход в клинику находится на уровне 2 этажа со стороны Молодогвардейской улицы.

Время пешком от метро - около 8-10 минут. Ориентир - три красно-белых высоких дома, Дентал Белгравия находится в первом из них. Ждем вас!

Воспользуйтесь сервисом «Отправить геопозицию». Вы получите координаты клиники или сообщением .

Парковка: на территории жилого комплекса есть бесплатная парковка. 

Вход в клинику находится на уровне 2 этажа со стороны Молодогвардейской улицы.

Подробно

Выход из станции метро Проспект Мира (кольцевая), из стеклянных дверей повернуть налево, идти 1 минуту до дома 36, cтр.1. Это здание Согласие Hall. Зайдите в главный вход, клиника находится на 6 этаже.

Воспользуйтесь сервисом «Отправить геопозицию». Вы получите координаты клиники или сообщением .

Парковка: во дворе дома 36, стр.1 (это здание Согласие Hall) находится бесплатный охраняемый паркинг. Заезд на парковку с Проспекта Мира (двигаясь из центра). Парковочное место необходимо заказать при записи, назвав администратору номер машины. 

Подробно

На станции метро Речной вокзал выйти из первого вагона, повернуть направо, обойти вестибюль метро, на первом перекрестке - повернуть налево и пройти около 100 метров в сторону Ленинградского шоссе. Здание клиники - по левую руку. До клиники от метро идти 2 минуты.

Воспользуйтесь сервисом «Отправить геопозицию». Вы получите координаты клиники или сообщением .

Парковка: во дворе дома 92А находится бесплатный охраняемый паркинг. Код для въезда вам сказал администратор при подтверждении визита. Если будут сложности со въездом, звоните +7 495 106-42-22.

Подробно

Станция метро «Новые Черемушки». Последний вагон из центра, из стеклянных дверей налево, выход к ТЦ «Панорама». Идти (10-12 минут) прямо до пересечения ул. Архитектора Власова и ул. Гарибальди. 

Воспользуйтесь сервисом «Отправить геопозицию». Вы получите координаты клиники или сообщением .

Парковка: возле дома по ул. Гарибальди, 15 – бесплатная парковка. Как правило, парковочных мест достаточно.

Подробно

Адрес ул. Ефремова, д. 10, к. 2, ЖК "Садовые кварталы". Вход и въезд через третью башню ЖК, ориентир - красный козырек клиники МРТ.

Видео-маршрут: https://rutube.ru/video/f5393248bf7ccc3d42ad180dd5135cb6/

Метро Фрунзенская. После турникетов поверните налево за МДМ Дальше идите прямо по улице Ефремова до д. 10, к. 2. С правой стороны будут ворота в закрытый комплекс «Садовые кварталы». Пожалуйста, напишите нам в WhatsApp. Мы вас сразу встретим у ворот и проводим в клинику.

Воспользуйтесь сервисом «Отправить геопозицию». Вы получите координаты клиники или сообщением .

Адрес ул. Ефремова, д. 10, к. 2, ЖК "Садовые кварталы". Вход и въезд через третью башню ЖК, ориентир - красный козырек клиники МРТ.

Заезд на парковку через двойной шлагбаум, у въезда вас встретит консьерж и сопроводит на парковочное место. Если пропуск не заказан заранее, или вам сложно найти въезд, напишите нам в WhatsApp.Поможем оперативно!
Бесплатная парковка предоставляется нашим пациентам ТОЛЬКО на время приема.

Видео-маршрут пешком от метро Фрунзенская: https://rutube.ru/video/f5393248bf7ccc3d42ad180dd5135cb6/


Подробно

Метро Киевская, выход № 5. Перейдите на противоположную сторону площади Киевского вокзала и поверните направо, во 2-й Брянский переулок.

После этого первый поворот налево на Брянскую улицу. Нужный вам дом — четвертый по левой стороне — серое 4-этажное здание.

Вход с вывеской «Медицинский центр доктора Александровского».

Из центра. По Большой Дорогомиловской из центра, поверните налево во 2-й Брянский переулок, потом первый поворот направо на Брянскую улицу. Нужный вам дом — четвертый по левой стороне — серое 4-этажное здание.

Из области. По Большой Дорогомиловской в сторону центра, поверните направо во 2-й Брянский переулок, потом первый поворот направо на Брянскую улицу. Нужный вам дом — четвертый по левой стороне — серое 4-этажное здание.

Парковка: слева от здания клиники (если смотреть на центральный вход), напротив «Сбербанка», въезд во двор через зону охраны.

Вход с вывеской «Медицинский центр доктора Александровского» с улицы.

Подробно
«Новые Черемушки» – ближайшая станция метро. Последний вагон из центра, после стеклянных дверей поверните направо, на улицу Гарибальди. Следуйте вниз по улице вдоль дома №36. После Сбербанка поверните направо в арку (2-я по счету от начала дома). Клиника находится справа за шлагбаумом. Время в пути: 7-10 минут.
Двигайтесь из центра по Профсоюзной улице, поверните налево на ул. Гарибальди, д. 36. Въезд – во вторую арку. Ориентир – пешеходный переход, сразу за которым поверите налево.
Подробно
Киевская  Новая клиника!
Брянская улица, 7

Метро Киевская, выход № 5. Перейдите на противоположную сторону площади Киевского вокзала и поверните направо, во 2-й Брянский переулок.

После этого первый поворот налево на Брянскую улицу. Нужный вам дом — четвертый по левой стороне — серое 4-этажное здание.

Вход с вывеской «Медицинский центр доктора Александровского».

Из центра. По Большой Дорогомиловской из центра, поверните налево во 2-й Брянский переулок, потом первый поворот направо на Брянскую улицу. Нужный вам дом — четвертый по левой стороне — серое 4-этажное здание.

Из области. По Большой Дорогомиловской в сторону центра, поверните направо во 2-й Брянский переулок, потом первый поворот направо на Брянскую улицу. Нужный вам дом — четвертый по левой стороне — серое 4-этажное здание.

Парковка: слева от здания клиники (если смотреть на центральный вход), напротив «Сбербанка», въезд во двор через зону охраны.

Вход с вывеской «Медицинский центр доктора Александровского» с улицы.

Подробно
Наши проекты
Дентал Фэнтези
детская стоматология
Фэнтези
педиатрическая клиника
Diagnocat
искусственный интеллект
Работа в ГК Фэнтези
открытые вакансии

*
Социальная сеть Instagram принадлежит компании Meta Platforms Inc., которая запрещена на территории РФ

English version English version

Колл-центр: (8:00–22:00), call@fantasyclinic.ru

Для связи по PR-вопросам: pr@fantasyclinic.ru

© 2026 Все права защищены
Имеются противопоказания. Проконсультируйтесь со специалистом Имеются противопоказания. Проконсультируйтесь со специалистом