Одноэтапная имплантация (с немедленной нагрузкой)

Что такое одноэтапная имплантация? Это когда вам устанавливают имплантат и сразу же временную коронку. Все происходит за один визит к врачу. Вы покидаете клинику с новым временным зубом или целым рядом зубов. Можно пользоваться зубами сразу, а не ждать, пока имплантат полностью приживется в кости. Вскоре временная коронка или протез меняются на постоянные. 

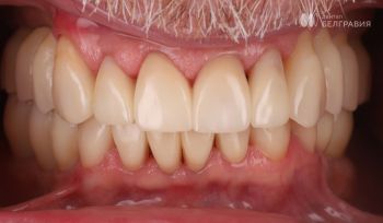
Вы уверены, что имплантация зубов — это сложно, больно и долго? В руках наших опытных хирургов — это комфортная, предельно точная и быстрая процедура.
от 79 000 ₽

Одноэтапная имплантация: в чем плюсы для вас?

  • короткий срок лечения. Временная коронка в тот же день
  • мгновенный эстетический результат. Вы пришли в клинику без зуба, а ушли с имплантом и временной коронкой! Крайне важно для имплантации передних зубов
  • быстрое восстановление после имплантации.

Одноэтапная имплантация: 4 причины выбрать Дентал Белгравия

Мы первыми в мире начали применять искусственный интеллект в имплантации. Что это значит для вас? 

  • Точнейшее планирование. Индивидуальная имплантация, рассчитанная по вашей цифровой модели
  • Гарантия, что имплантаты будут установлены с ювелирной точностью. Минимум рисков – максимально надежный результат
  • Дорогостоящее лечение под тройным контролем: экспертиза врача + анализ ИИ + вы сами наглядно видите, как будет проходить ваше лечение. А значит, вы получите максимально предсказуемый результат без риска потратить деньги впустую
  • Мы проводим антистресс-имплантацию: можно сделать в седации, а можно во сне. Вы спокойно заснете, а проснетесь уже с установленными имплантатами. Посмотрите видео и узнайте, что такое имплантация без стресса!
01
Поможем даже в самом сложном случае
Если нужно восстановить все зубы. Наши доктора в совершенстве владеют методикой «Все на 4» и другими современными технологиями.
02
Точнейшее планирование имплантации
Анализируем КЛКТ и планируем установку с помощью искусственного интеллекта. Состояние костной ткани, позиционирование имплантата.
03
Используем хирургические шаблоны
Хирургические шаблоны дают возможность установить имплантат с высочайшей точностью.
04
Проводим антистресс-имплантацию 
Применяем поверхностную седацию закисью азота и лечение во сне (в наркозе): вы засыпаете, а просыпаетесь уже с имплантатами.
05
Работаем только с лучшими производителями
Все имплантаты, которые мы устанавливаем, обладают высоким процентом приживаемости.
06
Личный медицинский координатор
Он всегда будет с вами на связи: подберет удобное время для визитов, поможет, поддержит, объяснит.
01 / 06
Результаты до/после
01 / 15
До
После
Треснул центральный зуб. Мы поставили имплантат и установили коронку
Доктора: Ашуров Роман, Гикавый Владислав
Клиника: Новые Черемушки
Подробно
До
После
Имплантология и протезирование
Доктора: Щеголютина Ольга , Ашуров Роман, Царьков Виталий
Клиника: Кунцевская
Подробно
До
После
Полная эстетическая реабилитация
Доктора: Мельников Александр , Липец Анна, Ашуров Роман
Клиника: Речной вокзал
Подробно
До
После
Комплексное восстановление улыбки: имплантация, керамические виниры и коронки
Доктор: Царьков Виталий
Клиника: Кунцевская
Подробно
До
После
Восстановление эстетики улыбки: имплантация, протезирование.
Доктора: Иванов Владимир, Тихон Юрий
Клиника: Речной вокзал
Подробно
До
После
Anti-Age стоматология: имплантация, протезирование на имплантатах
Доктора: Платонов Максим, Ширналиев Ульви
Клиника: Новые Черемушки
Подробно
До
После
Имплантация, восстановление зубов коронками
Доктора: Ашуров Роман, Царьков Виталий
Клиника: Кунцевская
Подробно
До
После
Очень сложная командная работа имплантолога и ортопеда. Вернули пациентке красивую улыбку
Доктор: Кочергин Дмитрий
Клиника: Новые Черемушки
Подробно
До
После
Полное протезирование на имплантатах
Клиника: Проспект Мира
Подробно
До
После
Сложный случай! Замена старых коронок и двух имплантатов
Доктора: Платонов Максим, Ашуров Роман
Клиника: Новые Черемушки
Подробно
До
После
Одномоментная имплантация центральных резцов
Клиника: Проспект Мира
Подробно
До
После
Полное восстановление улыбки: имплантация, протезирование
Доктора: Ашуров Роман, Гикавый Владислав
Клиника: Новые Черемушки
Подробно
До
После
Восстановление зубов за 1 день по запатентованной методике имплантация ALL-ON-4
Доктора: Барышников Кирилл, Вольберг Роман
Клиника: Речной вокзал
Подробно
До
После
Заменили съемный протез на несъемный (на имплантатах)
Доктора: Ашуров Роман, Царьков Виталий
Клиника: Кунцевская
Подробно
До
После
Реставрация керамическими коронками всех зубов в зоне улыбки
Клиника: Проспект Мира
Подробно
01 / 15
Нужна предельно точная имплантация? Мы поможем. Запишитесь на прием!
Позвоните нам или запишитесь по Whatsapp
Позвоните нам или запишитесь по Whatsapp

Нажимая на кнопку, вы даете согласие на обработку персональных данных

Позвоните нам или запишитесь по Whatsapp
Позвоните нам или запишитесь по Whatsapp
Одноэтапная имплантация (с немедленной нагрузкой): отзывы пациентов Белгравия Дентал
01 / 10
Юлия Чехович
25 сентября 2023
Специалисты Belgravia Dental Studio это про то, что ты не боишься идти к зубному, не будешь сидеть часами в очереди. Про то, что все будет сделано на высоком уровне и аккуратно. Хожу сюда уже много лет. Пришла со страхом, незалеченными зубами и несколькими отсутствующими. После прохождения лечения, установки брекетов, а затем имплантов прошло три года. И теперь прихожу сюда только раз в год на чистку и профилактический осмотр!
Марина
21 июля 2023
Примите мои благодарности все, кто принимал участие в моем "преображении"!!! Анну Сергеевну Липец знаю много лет. Руки золотые, при этом красивая, обаятельная умница. Ее ассистент Ирина, с которой у них взаимопонимание на уровне взглядов. Хирург Вольберг Роман Вячеславович, с которым ничего НЕ страшно и НЕ больно. И, конечно, спасибо пребольшое всем сотрудникам ресепшн, медицинским координаторам Екатерине и Марии за их неизменное внимание ко всем просьбам, за их искреннее желание помочь пациенту. Будьте, пожалуйста, все здоровы и благополучны!
Антонов А.Е.
10 декабря 2022
Огромная благодарность докторам за проведённую операцию по удалению и постановке имплантатов! Всё сделано профессионально! Спасибо, так держать!
Елена
13 апреля 2022
Говорю спасибо доктору Артуру Аветисяну. Он словно «жонглирует» инструментами во время работы, максимально внимателен к пациенту и просто профессионал, виртуоз и гуру своего дела! Вроде бы такие неприятные процедуры, как удаление зуба, установка имплантата, но доктор на деле показывает что это совсем нестрашно! Миллион спасибо!
Любовь Ефимовна
16 октября 2021
Мне 65 лет, я уже давно хожу со съёмными протезами. Уже несколько лет в моих мечтах была установка имплантов с последующим несъёмным протезированием. Моя подруга порекомендовала мне Миланочку Дёмину - этого прекрасного нежнейшего хирурга-имплантолога. Я всегда хожу к специалистам такого серьезного ответственного дела, касающегося моего здоровья, только по рекомендации. Настал день X, имплантация была проведена мне очень аккуратно, нежно, я смотрела свой любимый фильм «Любовь и голуби», забыв, что нахожусь у стоматолога. Честно скажу, долго готовилась к этой операции, настраивалась морально, очень боялась и переживала, по окончанию процедуры была, конечно, в шоке от того, насколько виртуозно врач мне операцию. Миланочка, Вы эксперт и профессионал своего дела. Буду рекомендовать Вас всем своим подругам!
Валентина
20 сентября 2021
Выражаю огромную благодарность за работу Роману Сииновичу Ашурову! Необыкновенно спокойный, высоко квалифицированный, надежный доктор и человек. Проводил имплантацию, все прошло без боли, отеков, осложнений, чего очень сильно опасалась. Спасибо большое всему персоналу клиник на Кунцевской и на Речном Вокзале за неравнодушие и профессионализм! Так же огромнейшую благодарность за ортопедические работы выражаю Липец Анне Сергеевне!
Елена
24 марта 2021
Больше двух лет прошло с начала моего знакомства с клиникой. За это время было проведено две операции с перерывом в год по увеличению объёма дёсны и по установке имплантатов. Мне посчастливилось встретится с замечательным хирургом - Ашуровым Романом Сииновичем.Ни до, ни после операций я не испытывала никаких сомнений в правильности и успешности намеченного лечения. В этом заслуга замечательного профессионала, уверенного и обаятельного доктора! И вот теперь уже всё закончилось и хочется пожелать Роману Сииновичу профессионального долголетия и простого человеческого счастья!
Элина
23 октября 2018
Попала первый раз в руки доктору Иванову по экстренной хирургии. Будучи человеком советской эпохи готовилась к самому худшему. Шептала слова молитвы и призвала всю свою волю на помощь - вытерпеть. И вдруг! Весёлый молодой человек предложил выпить кофейку и посмотреть фильм. Все остальное шло приложением. После окончания сеанса (а иначе действо не назовёшь), вместо ожидаемой боли ВДРУГ радостно поняла, что не будет ни боли, ни воспаления, ни проблем. В итоге поменяла зубы, спокойно вживила имплантанты, и живу полной жизнью. Доктор Липец Анна Сергеевна своевременно и точно обнаружила все мои проблемы и особенности строения, и в тандеме с доктором Владимиром Игоревичем и Петросян Татьяной Валерьевной изменили мою жизнь . Огромное спасибо всему составу поликлиники !
Михаил Медведев
09.07.2019
Была сложная ситуация, совсем запутался, что мне нужно - съемные протезы или коронки, или виниры. В разных клиниках советовали свое. Очень рад,что попал в эту клинику. Здесь доктора справились с моей достаточно сложной ситуацией. Лечение было не быстрым -брекеты, имплантация, коронки. И виниры на передние зубы. Но результат превзошел все мои ожидания!! Отдельное спасибо координаторам и администраторам!
01 / 10
Хирурги-имплантологи и ортопеды Белгравия Дентал
Отзывы (10)
Стоматолог-хирург, имплантолог, врач первой категории
Отзывы (57)
Стоматолог-хирург, имплантолог, врач высшей категории
Отзывы (15)
Стоматолог-хирург, имплантолог
Отзывы (7)
Пародонтолог, стоматолог-хирург, имплантолог, врач первой категории
Отзывы (32)
Стоматолог-хирург, имплантолог, врач первой категории
Отзывы (2)
Стоматолог-хирург, имплантолог
Отзывы (3)
Стоматолог-хирург, имплантолог
Отзывы (2)
Стоматолог-хирург, имплантолог, кандидат медицинских наук
Отзывы (3)
Стоматолог-хирург, имплантолог, врач первой категории
Отзывы (26)
Стоматолог-хирург, имплантолог, врач первой категории
Стоматолог-хирург, имплантолог
Отзывы (5)
Стоматолог-хирург, имплантолог
Отзывы (1)
Стоматолог-хирург, имплантолог, пародонтолог
Отзывы (16)
Стоматолог-хирург, имплантолог, врач первой категории

7 вопросов об одноэтапной имплантации

Еще недавно считалось, что имплантация зубов — сложный, болезненный и длительный процесс на несколько месяцев. Сегодня имплантация — это комфортная (и во многих случаях быстрая) процедура по восстановлению красивой улыбки. Про один из методов быстрой имплантации зубов — одноэтапную имплантацию — мы сегодня поговорим с нашими экспертами. Хирурги-имплантологи отвечают на самые частые вопросы.

Одноэтапная имплантация зубов (экспресс-имплантация) применяется хирургами-имплантологами Дентал Белгравия. Метод заключается в том, что имплантат и временная коронка устанавливаются за один визит к врачу. Постоянную коронку сразу поставить не получится: имплантату нужно прижиться, десна должна прийти в норму. А уже после (примерно на 4-й месяц) фиксируется постоянная коронка, изготовленная в зуботехнической лаборатории.

Но суть и главный плюс метода в том, что сразу после имплантации вы покидаете клинику с зубом (хоть и временным). Вопрос эстетики решен.

  • короткий срок лечения (временная коронка в тот же день);
  • мгновенный эстетический результат (пациент пришел в клинику без зуба, а ушел с имплантом и временной коронкой). Крайне важно для имплантации передних зубов;
  • быстрое восстановление после имплантации;
  • комфорт процедуры имплантации — операция проводится под местной анестезией. Если пациент испытывает сильный стресс, возможно добавить седацию или провести лечение во сне.

Технология доступна очень многим. Однако есть и противопоказания для одноэтапной имплантации:

  • недостаточное количество костной ткани, ее рыхлость и пористость;
  • возраст младше 18 лет;
  • воспалительные процессы в области имплантации зуба, заболевания пародонта (в этом случае возможны отрицательные результаты, наши врачи не идут на такой риск);
  • дентальная имплантация невозможна при заболеваниях иммунной и эндокринной систем, туберкулезе, психических расстройствах.

Важно, что сахарный диабет при адекватной медикаментозной поддержке не является противопоказанием для одноэтапной имплантации.

  • У нас лучшая команда хирургов-имплантологов в Москве. Ежедневно практикующие врачи, опыт от 10 лет, члены международных и российских профессиональных сообществ. Мы решим любой, даже самый сложный клинический случай.
  • Передовой диагностический комплекс  — преимущество нашей клиники, высокий класс диагностики. Мы планируем имплантацию по данным КЛКТ. В нашей клинике для анализа КЛКТ применяется искусственный интеллект Diagnocat! Программа по 3D-снимкам определяет состояние зубов, костной ткани, помогает доктору спланировать лечение, выбрать метод.
  • Лучшие имплантаты мировых производителей, включая Astra (Швеция), Nobel Biocare (США). Об их отличной приживаемости свидетельствуют данные, опыт врачей и отзывы пациентов.
  • Антистресс-имплантация (закись азота, глубокая седация, лечение во сне).

  1. Прием стоматолога-ортопеда. Именно этот специалист будет делать протезирование на имплантате. Ортопед оценивает прикус (не исключено, что перед имплантацией вам придется носить брекеты). Важно, чтобы новый искусственный зуб идеально вписался в зубной ряд.
  2. Прием хирурга-имплантолога. Доктор оценивает возможности — насколько возможен метод одноэтапной имплантации. Вы вместе с доктором выбираете систему имплантации.
  3. КЛКТ (3D-снимок). Это один из важнейших этапов диагностики — оценка объема и качества костной ткани перед имплантацией. Проще говоря, мы понимаем можно ли сейчас ставить имплантат или потребуется подготовка — костная пластика.Перед тем как принять решение, доктор может измерить объем вашей костной ткани до десятых миллиметра, с хирургической точностью. Это исключает возможные врачебные ошибки и делает вашу консультацию с доктором максимально прозрачной и понятной. Ещё «на берегу» известны: тактика лечения, сроки, цена.
  4. На основании этих данных принимается решение об одноэтапной имплантации.
  5. Профессиональная гигиена, лечение болезней десен, терапевтическое лечение — кариес должен быть вылечен.
  6. Возможно, вам понадобится сделать подготовку к имплантации — костную пластику, синус-лифтинг.

Если доктора сходятся во мнении, что одноэтапная имплантация возможна, то назначается день процедуры. Установка занимает один визит, вам нужно освободить в своем графике несколько часов. Вся процедура проходит в максимально комфортных условиях — пациент может выбрать один из методов антистресс-лечения. Дальше — вы лежите в удобном кресле, хирург-имплантолог и стоматолог-ортопед работают в тандеме: сначала имплантация, затем ортопедия. Через 2 часа (в среднем) вы уходите из клиники с временным зубом.

Вы остаетесь под наблюдением докторов. Через 3-4 месяца приходите снова — вам устанавливают постоянную керамическую коронку. Новый красивый и прочный зуб готов!

На что обратить внимание дома? Что нормально после операции, а когда нужно обратиться к врачу? Доктора Дентал Белгравия подготовили для вас понятные рекомендации.

Одноэтапная имплантация (с немедленной нагрузкой): стоимость
Первичный прием врача-стоматолога категории "профи" (осмотр, фотопротокол, консультация, составление плана лечения)  
от 3 000* ₽
Операция по установке имплантата
от 79 000 ₽
Имплантат ASTRA TECH Implant System (Швеция, Астра)
30 000 ₽
Имплантат Nobel (США), Straumann (Швейцария)
30 000 ₽
Имплантат Dentium (Южная Корея)
17 000 ₽
Пересадка костного блока
от 67 000 ₽
Изготовление хирургических шаблонов для имплантации по 3D модели
33 000 ₽
Наш блог
1 / 13
Имплантация
Можно ли ставить имплант сразу после удаления зуба
21.08.2025
Можно ли ставить имплант сразу после удаления зуба
Имплантация
Какая имплантация зубов лучше — одномоментная или классическая
23.08.2025
Какая имплантация зубов лучше — одномоментная или классическая
Имплантация
Какие есть ограничения по возрасту в дентальной имплантологии
09.08.2025
Какие есть ограничения по возрасту в дентальной имплантологии
Имплантация
Нужно ли перед имплантацией зубов сдавать анализы
19.08.2025
Нужно ли перед имплантацией зубов сдавать анализы
Имплантация
Сколько после имплантации зуба нельзя заниматься спортом
18.08.2025
Сколько после имплантации зуба нельзя заниматься спортом
Имплантация
Можно ли проводить лечение и имплантацию зубов одновременно
06.08.2025
Можно ли проводить лечение и имплантацию зубов одновременно
Имплантация
Когда можно устанавливать имплант после удаления зуба
13.08.2025
Когда можно устанавливать имплант после удаления зуба
Имплантация
Чистка зубов перед имплантацией — зачем нужна гигиена полости рта
29.07.2025
Чистка зубов перед имплантацией — зачем нужна гигиена полости рта
Имплантация
Птеригоидные импланты — надежное решение при атрофии костной ткани
30.05.2025
Птеригоидные импланты — надежное решение при атрофии костной ткани
Имплантация
Как не бояться имплантации зубов
30.05.2025
Как не бояться имплантации зубов
Имплантация
Какие снимки нужно сделать перед имплантацией зубов?
30.04.2025
Какие снимки нужно сделать перед имплантацией зубов?
Имплантация
Корейские импланты зубов
27.03.2025
Корейские импланты зубов
7 причин доверить лечение Дентал Белгравия
01 / 07
Диагностика — с ИИ Diagnocat
01
Искусственный интеллект — для полной и безошибочной диагностики. Вы сразу получаете второе независимое мнение ИИ о вашем здоровье. 

Диагностика — с ИИ Diagnocat
Имплантация — с искусственным интеллектом
02
Точнейшее планирование сложного лечения — максимально надежный результат.
Без риска потратить деньги впустую.
Имплантация — с искусственным интеллектом
Коммуникация при помощи ChatGPT
03
ИИ фиксирует все, что вы обсуждаете в кабинете (с вашего разрешения). Все внимание доктора – на вас, а медкарту заполняет ИИ. Мы экономим ваше время!
Коммуникация при помощи ChatGPT
Цифровые виниры
04
Примерьте будущую улыбку в первый визит! Мы создадим вашу цифровую 2D-модель в программе Smilecloud. Вы получите идеальные виниры быстро — всего за несколько дней.
Цифровые виниры
Полный антистресс!
05
У нас успешно лечатся те, кто раньше всегда боялся стоматологов. Предельно безопасная седация, лечение во сне. Проснулись — а лечение закончено!
Полный антистресс!
Лечим взрослых, как детей
06
Так же бережно, нежно и терпеливо. Окружим вас вниманием и заботой
Лечим взрослых, как детей
Дентал Белгравия — стоматология №1 в России
07
Лучшая стоматология России в 2025 году — по рейтингу StartSmile Top и Forbes!
Дентал Белгравия — стоматология №1 в России
01 / 07
Наши клиники

Метро Киевская, выход № 5. Перейдите на противоположную сторону площади Киевского вокзала и поверните направо, во 2-й Брянский переулок.

После этого первый поворот налево на Брянскую улицу. Нужный вам дом — четвертый по левой стороне — серое 4-этажное здание.

Вход с вывеской «Медицинский центр доктора Александровского».

Из центра. По Большой Дорогомиловской из центра, поверните налево во 2-й Брянский переулок, потом первый поворот направо на Брянскую улицу. Нужный вам дом — четвертый по левой стороне — серое 4-этажное здание.

Из области. По Большой Дорогомиловской в сторону центра, поверните направо во 2-й Брянский переулок, потом первый поворот направо на Брянскую улицу. Нужный вам дом — четвертый по левой стороне — серое 4-этажное здание.

Парковка: слева от здания клиники (если смотреть на центральный вход), напротив «Сбербанка», въезд во двор через зону охраны.

Вход с вывеской «Медицинский центр доктора Александровского» с улицы.

Подробно

Метро Кунцевская (Арбатско-Покровская или Филевская линия), первый вагон из центра. Из стеклянных дверей поворачиваете налево до лестницы, спускаетесь вниз и следуете до пешеходного перехода.

Далее после пешеходного перехода двигаетесь вверх, придерживаясь левой стороны.

По правую сторону от вас находится крытый паркинг, проходите мимо него вверх до ворот, заходите на территорию жилого комплекса и поворачиваете налево, 50м прямо и поднимаетесь вверх по лестнице. Вход в клинику находится на уровне 2 этажа со стороны Молодогвардейской улицы.

Время пешком от метро - около 8-10 минут. Ориентир - три красно-белых высоких дома, Дентал Белгравия находится в первом из них. Ждем вас!

Воспользуйтесь сервисом «Отправить геопозицию». Вы получите координаты клиники или сообщением .

Парковка: на территории жилого комплекса есть бесплатная парковка. 

Вход в клинику находится на уровне 2 этажа со стороны Молодогвардейской улицы.

Подробно

Выход из станции метро Проспект Мира (кольцевая), из стеклянных дверей повернуть налево, идти 1 минуту до дома 36, cтр.1. Это здание Согласие Hall. Зайдите в главный вход, клиника находится на 6 этаже.

Воспользуйтесь сервисом «Отправить геопозицию». Вы получите координаты клиники или сообщением .

Парковка: во дворе дома 36, стр.1 (это здание Согласие Hall) находится бесплатный охраняемый паркинг. Заезд на парковку с Проспекта Мира (двигаясь из центра). Парковочное место необходимо заказать при записи, назвав администратору номер машины. 

Подробно

На станции метро Речной вокзал выйти из первого вагона, повернуть направо, обойти вестибюль метро, на первом перекрестке - повернуть налево и пройти около 100 метров в сторону Ленинградского шоссе. Здание клиники - по левую руку. До клиники от метро идти 2 минуты.

Воспользуйтесь сервисом «Отправить геопозицию». Вы получите координаты клиники или сообщением .

Парковка: во дворе дома 92А находится бесплатный охраняемый паркинг. Код для въезда вам сказал администратор при подтверждении визита. Если будут сложности со въездом, звоните +7 495 106-42-22.

Подробно

Станция метро «Новые Черемушки». Последний вагон из центра, из стеклянных дверей налево, выход к ТЦ «Панорама». Идти (10-12 минут) прямо до пересечения ул. Архитектора Власова и ул. Гарибальди. 

Воспользуйтесь сервисом «Отправить геопозицию». Вы получите координаты клиники или сообщением .

Парковка: возле дома по ул. Гарибальди, 15 – бесплатная парковка. Как правило, парковочных мест достаточно.

Подробно

Адрес ул. Ефремова, д. 10, к. 2, ЖК "Садовые кварталы". Вход и въезд через третью башню ЖК, ориентир - красный козырек клиники МРТ.

Видео-маршрут: https://rutube.ru/video/f5393248bf7ccc3d42ad180dd5135cb6/

Метро Фрунзенская. После турникетов поверните налево за МДМ Дальше идите прямо по улице Ефремова до д. 10, к. 2. С правой стороны будут ворота в закрытый комплекс «Садовые кварталы». Пожалуйста, напишите нам в WhatsApp. Мы вас сразу встретим у ворот и проводим в клинику.

Воспользуйтесь сервисом «Отправить геопозицию». Вы получите координаты клиники или сообщением .

Адрес ул. Ефремова, д. 10, к. 2, ЖК "Садовые кварталы". Вход и въезд через третью башню ЖК, ориентир - красный козырек клиники МРТ.

Заезд на парковку через двойной шлагбаум, у въезда вас встретит консьерж и сопроводит на парковочное место. Если пропуск не заказан заранее, или вам сложно найти въезд, напишите нам в WhatsApp.Поможем оперативно!
Бесплатная парковка предоставляется нашим пациентам ТОЛЬКО на время приема.

Видео-маршрут пешком от метро Фрунзенская: https://rutube.ru/video/f5393248bf7ccc3d42ad180dd5135cb6/


Подробно

Метро Киевская, выход № 5. Перейдите на противоположную сторону площади Киевского вокзала и поверните направо, во 2-й Брянский переулок.

После этого первый поворот налево на Брянскую улицу. Нужный вам дом — четвертый по левой стороне — серое 4-этажное здание.

Вход с вывеской «Медицинский центр доктора Александровского».

Из центра. По Большой Дорогомиловской из центра, поверните налево во 2-й Брянский переулок, потом первый поворот направо на Брянскую улицу. Нужный вам дом — четвертый по левой стороне — серое 4-этажное здание.

Из области. По Большой Дорогомиловской в сторону центра, поверните направо во 2-й Брянский переулок, потом первый поворот направо на Брянскую улицу. Нужный вам дом — четвертый по левой стороне — серое 4-этажное здание.

Парковка: слева от здания клиники (если смотреть на центральный вход), напротив «Сбербанка», въезд во двор через зону охраны.

Вход с вывеской «Медицинский центр доктора Александровского» с улицы.

Подробно

Метро Кунцевская (Арбатско-Покровская или Филевская линия), первый вагон из центра. Из стеклянных дверей поворачиваете налево до лестницы, спускаетесь вниз и следуете до пешеходного перехода.

Далее после пешеходного перехода двигаетесь вверх, придерживаясь левой стороны.

По правую сторону от вас находится крытый паркинг, проходите мимо него вверх до ворот, заходите на территорию жилого комплекса и поворачиваете налево, 50м прямо и поднимаетесь вверх по лестнице. Вход в клинику находится на уровне 2 этажа со стороны Молодогвардейской улицы.

Время пешком от метро - около 8-10 минут. Ориентир - три красно-белых высоких дома, Дентал Белгравия находится в первом из них. Ждем вас!

Воспользуйтесь сервисом «Отправить геопозицию». Вы получите координаты клиники или сообщением .

Парковка: на территории жилого комплекса есть бесплатная парковка. 

Вход в клинику находится на уровне 2 этажа со стороны Молодогвардейской улицы.

Подробно

Выход из станции метро Проспект Мира (кольцевая), из стеклянных дверей повернуть налево, идти 1 минуту до дома 36, cтр.1. Это здание Согласие Hall. Зайдите в главный вход, клиника находится на 6 этаже.

Воспользуйтесь сервисом «Отправить геопозицию». Вы получите координаты клиники или сообщением .

Парковка: во дворе дома 36, стр.1 (это здание Согласие Hall) находится бесплатный охраняемый паркинг. Заезд на парковку с Проспекта Мира (двигаясь из центра). Парковочное место необходимо заказать при записи, назвав администратору номер машины. 

Подробно

На станции метро Речной вокзал выйти из первого вагона, повернуть направо, обойти вестибюль метро, на первом перекрестке - повернуть налево и пройти около 100 метров в сторону Ленинградского шоссе. Здание клиники - по левую руку. До клиники от метро идти 2 минуты.

Воспользуйтесь сервисом «Отправить геопозицию». Вы получите координаты клиники или сообщением .

Парковка: во дворе дома 92А находится бесплатный охраняемый паркинг. Код для въезда вам сказал администратор при подтверждении визита. Если будут сложности со въездом, звоните +7 495 106-42-22.

Подробно

Станция метро «Новые Черемушки». Последний вагон из центра, из стеклянных дверей налево, выход к ТЦ «Панорама». Идти (10-12 минут) прямо до пересечения ул. Архитектора Власова и ул. Гарибальди. 

Воспользуйтесь сервисом «Отправить геопозицию». Вы получите координаты клиники или сообщением .

Парковка: возле дома по ул. Гарибальди, 15 – бесплатная парковка. Как правило, парковочных мест достаточно.

Подробно

Адрес ул. Ефремова, д. 10, к. 2, ЖК "Садовые кварталы". Вход и въезд через третью башню ЖК, ориентир - красный козырек клиники МРТ.

Видео-маршрут: https://rutube.ru/video/f5393248bf7ccc3d42ad180dd5135cb6/

Метро Фрунзенская. После турникетов поверните налево за МДМ Дальше идите прямо по улице Ефремова до д. 10, к. 2. С правой стороны будут ворота в закрытый комплекс «Садовые кварталы». Пожалуйста, напишите нам в WhatsApp. Мы вас сразу встретим у ворот и проводим в клинику.

Воспользуйтесь сервисом «Отправить геопозицию». Вы получите координаты клиники или сообщением .

Адрес ул. Ефремова, д. 10, к. 2, ЖК "Садовые кварталы". Вход и въезд через третью башню ЖК, ориентир - красный козырек клиники МРТ.

Заезд на парковку через двойной шлагбаум, у въезда вас встретит консьерж и сопроводит на парковочное место. Если пропуск не заказан заранее, или вам сложно найти въезд, напишите нам в WhatsApp.Поможем оперативно!
Бесплатная парковка предоставляется нашим пациентам ТОЛЬКО на время приема.

Видео-маршрут пешком от метро Фрунзенская: https://rutube.ru/video/f5393248bf7ccc3d42ad180dd5135cb6/


Подробно

Метро Киевская, выход № 5. Перейдите на противоположную сторону площади Киевского вокзала и поверните направо, во 2-й Брянский переулок.

После этого первый поворот налево на Брянскую улицу. Нужный вам дом — четвертый по левой стороне — серое 4-этажное здание.

Вход с вывеской «Медицинский центр доктора Александровского».

Из центра. По Большой Дорогомиловской из центра, поверните налево во 2-й Брянский переулок, потом первый поворот направо на Брянскую улицу. Нужный вам дом — четвертый по левой стороне — серое 4-этажное здание.

Из области. По Большой Дорогомиловской в сторону центра, поверните направо во 2-й Брянский переулок, потом первый поворот направо на Брянскую улицу. Нужный вам дом — четвертый по левой стороне — серое 4-этажное здание.

Парковка: слева от здания клиники (если смотреть на центральный вход), напротив «Сбербанка», въезд во двор через зону охраны.

Вход с вывеской «Медицинский центр доктора Александровского» с улицы.

Подробно
«Новые Черемушки» – ближайшая станция метро. Последний вагон из центра, после стеклянных дверей поверните направо, на улицу Гарибальди. Следуйте вниз по улице вдоль дома №36. После Сбербанка поверните направо в арку (2-я по счету от начала дома). Клиника находится справа за шлагбаумом. Время в пути: 7-10 минут.
Двигайтесь из центра по Профсоюзной улице, поверните налево на ул. Гарибальди, д. 36. Въезд – во вторую арку. Ориентир – пешеходный переход, сразу за которым поверите налево.
Подробно
Киевская  Новая клиника!
Брянская улица, 7

Метро Киевская, выход № 5. Перейдите на противоположную сторону площади Киевского вокзала и поверните направо, во 2-й Брянский переулок.

После этого первый поворот налево на Брянскую улицу. Нужный вам дом — четвертый по левой стороне — серое 4-этажное здание.

Вход с вывеской «Медицинский центр доктора Александровского».

Из центра. По Большой Дорогомиловской из центра, поверните налево во 2-й Брянский переулок, потом первый поворот направо на Брянскую улицу. Нужный вам дом — четвертый по левой стороне — серое 4-этажное здание.

Из области. По Большой Дорогомиловской в сторону центра, поверните направо во 2-й Брянский переулок, потом первый поворот направо на Брянскую улицу. Нужный вам дом — четвертый по левой стороне — серое 4-этажное здание.

Парковка: слева от здания клиники (если смотреть на центральный вход), напротив «Сбербанка», въезд во двор через зону охраны.

Вход с вывеской «Медицинский центр доктора Александровского» с улицы.

Подробно
Наши проекты
Дентал Фэнтези
детская стоматология
Фэнтези
педиатрическая клиника
Diagnocat
искусственный интеллект
Работа в ГК Фэнтези
открытые вакансии

*
Социальная сеть Instagram принадлежит компании Meta Platforms Inc., которая запрещена на территории РФ

English version English version

Колл-центр: (8:00–22:00), call@fantasyclinic.ru

Для связи по PR-вопросам: pr@fantasyclinic.ru

© 2025 Все права защищены
Имеются противопоказания. Проконсультируйтесь со специалистом Имеются противопоказания. Проконсультируйтесь со специалистом