Пересадка зуба (Аутотрансплантация)

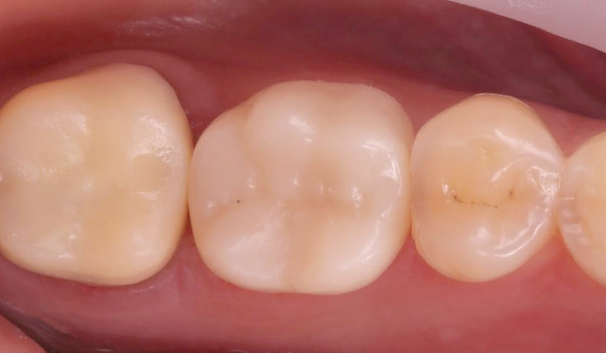
До
После
Аутотрансплантация (пересадка зуба).

Методика, которая была научной фантастикой, уже сейчас является рутинной операцией в Дентал Белгравия.

Суть процедуры: забираем менее функциональный зуб, например, зуб мудрости или сверхкомплектный зуб. И пересаживаем его туда, где он больше нужен.

Важные этапы:

  • Аккуратно удаляем разрушенный зуб.
  • Надо убедиться, что восьмерка подойдет на место удаленного зуба. Для этого создаем 3D-модель и примеряем. Подходит!
  • Проводим пересадку. Делаем КТКТ, контролируем приживление зуба с помощью искусственного интеллекта Diagnocat.
  • Если требуется, то проводим эндодонтическое лечение.
  • А затем восстанавливаем зуб керамической коронкой, для воссоздания той самой природной анатомии.

Таким образом, пересадка зуба мудрости позволяет получить удобный в прикусе, крепкий и полностью функциональный родной зуб вместо утраченного.

(Ортопедический этап: доктор Максим Платонов).

Наши проекты
Дентал Фэнтези
детская стоматология
Фэнтези
педиатрическая клиника
Diagnocat
искусственный интеллект
Работа в ГК Фэнтези
открытые вакансии

*
Социальная сеть Instagram принадлежит компании Meta Platforms Inc., которая запрещена на территории РФ

English version English version

Колл-центр: (8:00–22:00), call@fantasyclinic.ru

Для связи по PR-вопросам: pr@fantasyclinic.ru

© 2026 Все права защищены
Имеются противопоказания. Проконсультируйтесь со специалистом Имеются противопоказания. Проконсультируйтесь со специалистом