Большая работа: 28 виниров и коронок

До
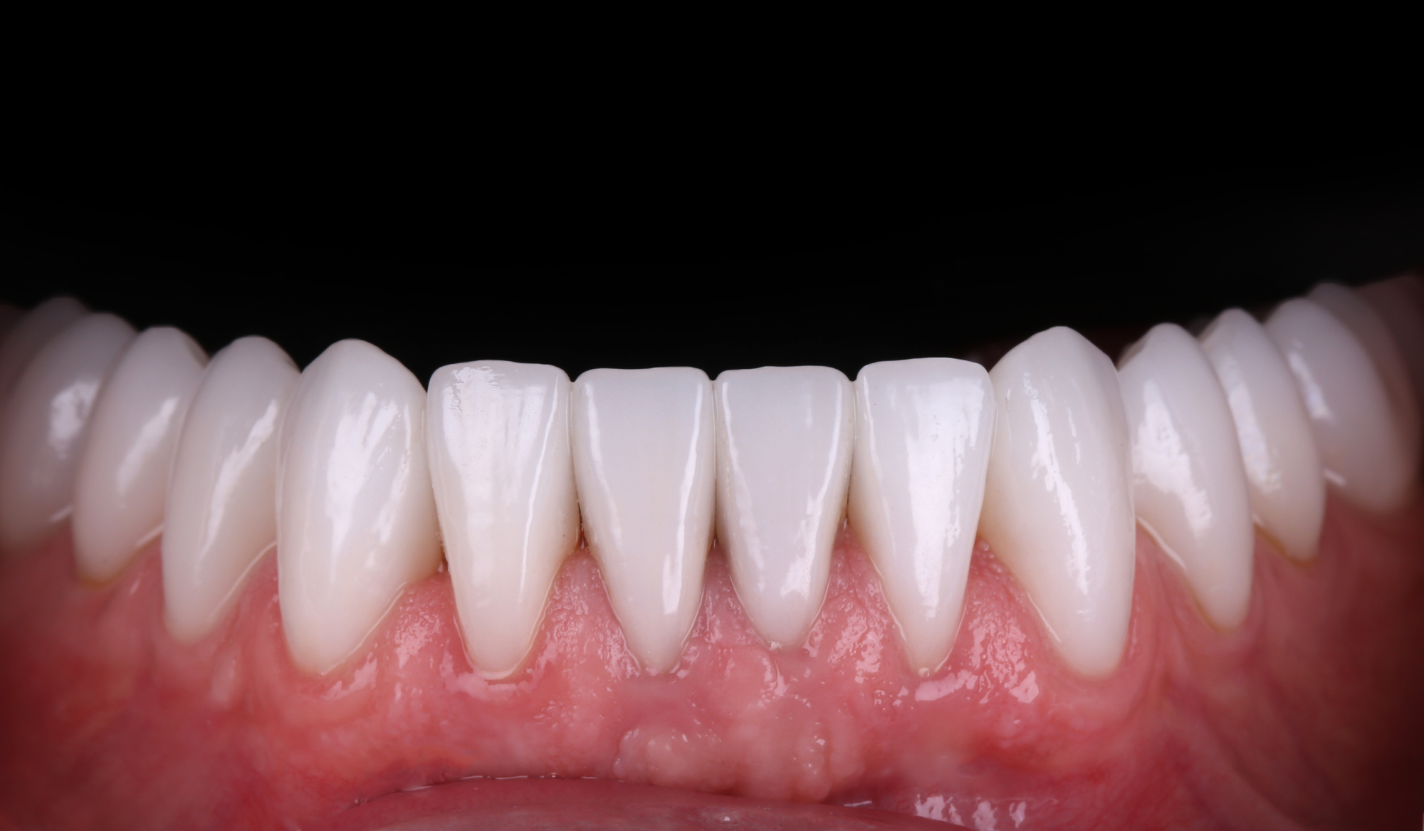
После
Большая работа: 28 виниров и коронок

Пациент Виктор, 50 лет. Первым этапом стоматолог-ортопед Максим Платонов провел примерку будущей улыбки, не прикасаясь к зубам бором и не нарушая их целостность. Этап, который ни к чему не обязывает, но помогает пациенту увидеть нового себя с новой улыбкой. Пациент Виктор сказал: «Да, это то, что я хочу. Запишите на лечение!»

Вторым этапом врач-стоматолог Владимир Горячкин выполнил терапевтическую подготовку зубов: вылечил все кариозные зубы с применением микроскопа, провел предварительное восстановление, наладил качественную гигиену у пациента.

И финальный этап — стоматолог-ортопед Максим Платонов примерил временные реставрации, а затем зафиксировал 28 цельнокерамических виниров и коронок. С применением медицинского микроскопа и коффердама — это является золотым стандартом в современной стоматологии.

Виктору 50 лет, но он признался, что с новой улыбкой чувствует себя на 35. А мы искренне рады, что помогли ещё одному пациенту стать чуточку счастливее.

Наши проекты
Дентал Фэнтези
детская стоматология
Фэнтези
педиатрическая клиника
Diagnocat
искусственный интеллект
Работа в ГК Фэнтези
открытые вакансии

*
Социальная сеть Instagram принадлежит компании Meta Platforms Inc., которая запрещена на территории РФ

English version English version

Колл-центр: (8:00–22:00), call@fantasyclinic.ru

Для связи по PR-вопросам: pr@fantasyclinic.ru

© 2026 Все права защищены
Имеются противопоказания. Проконсультируйтесь со специалистом Имеются противопоказания. Проконсультируйтесь со специалистом