Голливудская улыбка - с помощью виниров и коронок

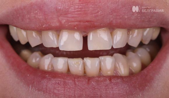
До
После
Голливудская улыбка — с помощью виниров и коронок.

28 единиц керамических виниров и коронок, прекрасные врачебные навыки стоматолога-ортопеда Максима Платонова, и мечта о голливудской улыбке исполнена. Все лечение проведено с применением медицинского микроскопа, цифровых протоколов лечения и лучших стоматологических материалов.

До
После
Наши проекты
Дентал Фэнтези
детская стоматология
Фэнтези
педиатрическая клиника
Diagnocat
искусственный интеллект
Работа в ГК Фэнтези
открытые вакансии

*
Социальная сеть Instagram принадлежит компании Meta Platforms Inc., которая запрещена на территории РФ

English version English version

Колл-центр: (8:00–22:00), call@fantasyclinic.ru

Для связи по PR-вопросам: pr@fantasyclinic.ru

© 2026 Все права защищены
Имеются противопоказания. Проконсультируйтесь со специалистом Имеются противопоказания. Проконсультируйтесь со специалистом