Лечение пародонтита в несколько этапов

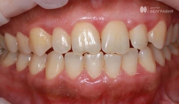
До
После
Лечение пародонтита в несколько этапов

Пациентка настолько сильно боялась стоматологов, что пришла на приём только, когда из-за боли и отёка десны уже не могла ни есть, ни спать.
Зато посмотрите, каких потрясающих результатов они смогли добиться вместе с врачом! А это — лишь начало лечения.
В истории пациентки нет ничего необычного: женщина была уверена, что чистки зубов дважды в день достаточно, чтобы не иметь проблем с полостью рта и не ходить к стоматологам, которых она панически боялась с самого детства.

Стоматолог-пародонтолог Дентал Белгравия Лана Черкесова сумела найти подход к пациентке и мотивировала её взять здоровье зубов в свои руки, что очень важно при пародонтите.

Это заболевание начинается, когда бактерии из зубного налёта на эмали проникают глубоко под десну и поражают ткани, окружающие зуб. Если ничего не предпринимать, они начинают разрушать десну, а затем и другие ткани, в том числе кость, что грозит потерей зуба.

Первым этапом всегда будет диагностика. Врач сделала КТ-снимок, чтобы оценить состояние тканей пародонта и определить прогноз для каждого зуба. Разрушение костной ткани вокруг зуба — один из признаков пародонтита. Затем провели замеры пародонтальных карманов — полостей, которые сформировались в десне, для того, чтобы понять, как глубоко распространилось заболевание. Определили индекс кровоточивости десны, индекс налёта, составили пародонтологическую карту. Всё это необходимо, чтобы правильно поставить диагноз, определить степень и распространение заболевания и в дальнейшем отслеживать эффективность лечения. После диагностики и составления индивидуального плана лечения переходим к следующему этапу.

Мягкая биоплёнка на эмали при недостаточной гигиене превращается в твёрдый зубной камень. У пациентов с пародонтитом это особенно опасно, так как они не переносят зубной налёт. Поэтому следующий важный этап — обучить пациентку качественной домашней гигиене, а главное, мотивировать её выполнять все рекомендации. Ведь успех лечения пародонтита на 75% зависит именно от настроя и действий пациента.

В ходе контролируемой чистки зубов врач научила пациентку пользоваться зубной щёткой так, чтобы это приносило максимальный эффект: сначала показала все движения, затем оценила, как это делает пациентка. А ещё обратила внимание на зоны риска, которым при чистке стоит уделять особое внимание. Эти поверхности зубов при индикации налёта окрасились ярче.

Чтобы качественно очищать не только видимую поверхность эмали, но и труднодоступные пространства между зубами, доктор научил пациентку использовать межзубные ёршики. А ещё составил ёршикограмму — наглядную инструкцию, которая показывает размер ёршика для каждого межзубного промежутка.

Врач подобрал зубную щётку, пасту и ополаскиватель для полости рта с антисептиками, которые будут препятствовать образованию налёта и воспалению.

Третий этап. Через 10 дней девушка вернулась в клинику, чтобы продолжить лечение. Вместе с врачом они определили, насколько успешно удается справиться с налетом, и начали снимать зубные отложения. Сделать профгигиену сразу было невозможно из-за сильного воспаления десны. Теперь же оно значительно уменьшилось, потому что женщина выполняла все рекомендации по домашней гигиене.

Снятие зубного налёта при пародонтите проводят постепенно. За один приём обрабатывают один из четырёх участков, например, правую или левую часть верхней или нижней челюсти.

Биоплёнку и минерализованный, твердый налёт бережно удаляют как на видимой части зуба, так и под десной, вокруг корня зуба. Делают это с помощью аппарата Airflow Prophylaxis Master, ультразвукового скалера NSK и ручных инструментов.

Следующий визит к врачу-пародонтологу обычно назначают через три месяца. На приёме оценивают эффективность лечения — снова проводят индикацию, замеряют глубину пародонтальных карманов и сравнивают с результатами первого исследования.
На данный момент пациентка выполняет все рекомендации врача, регулярно посещает клинику для контроля, старается бросить курить.

Наши проекты
Дентал Фэнтези
детская стоматология
Фэнтези
педиатрическая клиника
Diagnocat
искусственный интеллект
Работа в ГК Фэнтези
открытые вакансии

*
Социальная сеть Instagram принадлежит компании Meta Platforms Inc., которая запрещена на территории РФ

English version English version

Колл-центр: (8:00–22:00), call@fantasyclinic.ru

Для связи по PR-вопросам: pr@fantasyclinic.ru

© 2026 Все права защищены
Имеются противопоказания. Проконсультируйтесь со специалистом Имеются противопоказания. Проконсультируйтесь со специалистом