Молодая и красивая улыбка в 3 этапа

До
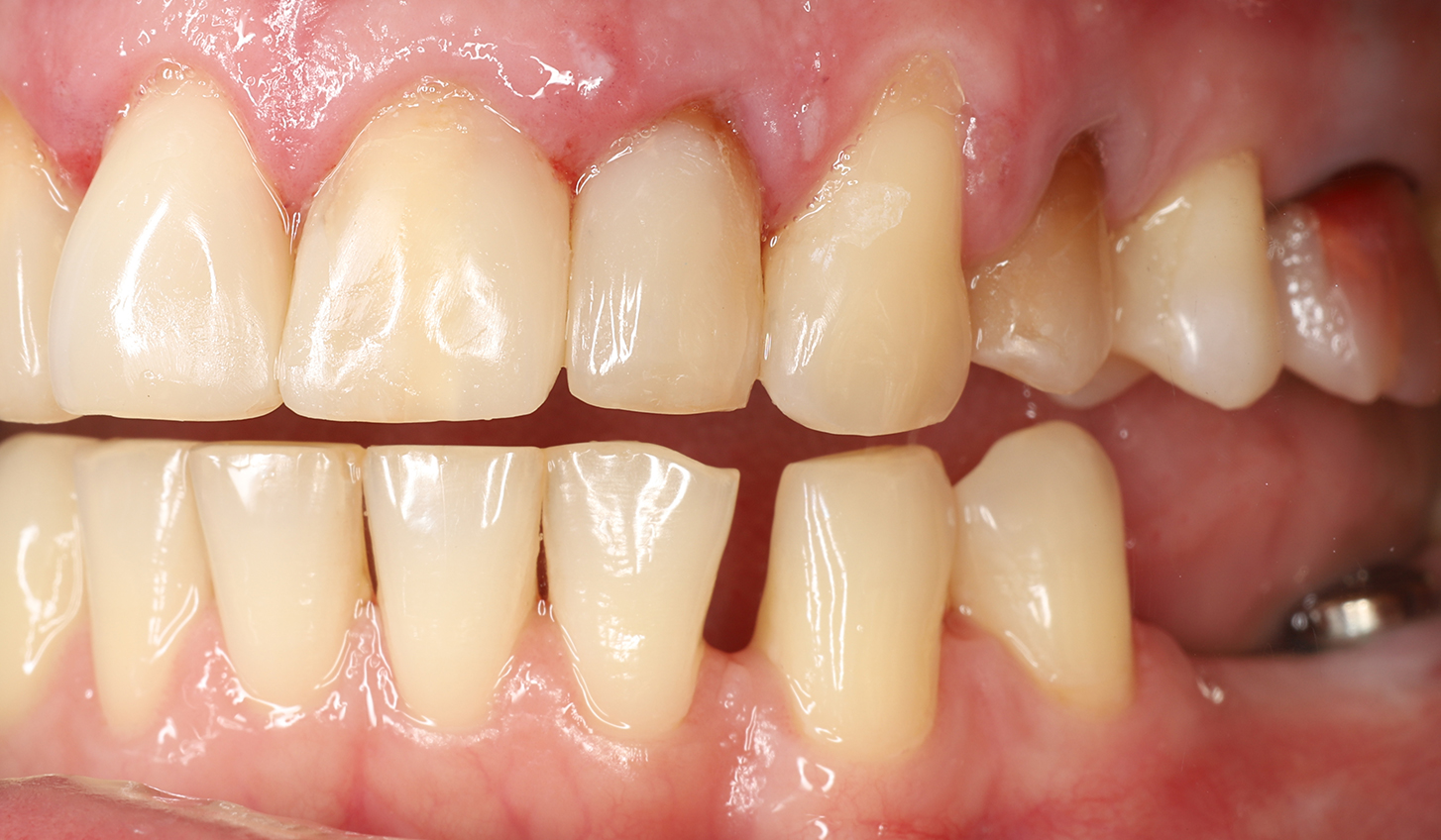
После
Молодая и красивая улыбка в 3 этапа.

С пациенткой Анной работала целая команда специалистов Дентал Белгравия. Лечение проводилось в 3 этапа, было длительным и сложным, но результат того стоил! Ход лечения:

  1. Первый визит — исчерпывающая диагностика КЛКТ с анализом снимка искусственным интеллектом Diagnocat. Пациент всегда видит очень наглядный отчет и понимает, что требует лечения. Вылечили все зубы с применением медицинского микроскопа. Удалили инфекцию в корневых каналах, затем провели восстановление (build-up) под будущие керамические коронки. Фундамент готов — кариозный процесс в полости рта удален на 100%.

    Автор терапевтического этапа — стоматолог-терапевт Юлия Кирина.

  2. Выполнили имплантацию утраченных зубов с использованием медицинской оптики. Отсутствие зубов может заставить мышцы лица работать интенсивнее, так как они теряют опору, и это приводит к преждевременному старению лица. При отсутствии зубов или их повышенной стираемости снижается высота прикуса, соответственно, уменьшается высота нижней трети лица, из-за чего образуются складки и морщины.

    Имплантация и последующее протезирование коронками помогает восстановить опору для мышц, вернуть лицу естественный объем и контур, нормализовать взаимоотношение челюстей.

    Автор хирургического этапа — стоматолог-хирург Роман Ашуров.

  3. Восстановили эстетику и функциональность зубов керамическими коронками, сохранив природную естественность.

    В меру белоснежные зубы без признаков стираемости воспринимаются как признак молодости, ассоциируются с крепким здоровьем, уверенностью в себе, жизненной силой и высоким уровнем энергии. Улыбка Анны — лучшее тому подтверждение!

    Автор ортопедического этапа — врач-стоматолог, ортопед Владислав Гикавый.

До
После
До
После
До
После
Наши проекты
Дентал Фэнтези
детская стоматология
Фэнтези
педиатрическая клиника
Diagnocat
искусственный интеллект
Работа в ГК Фэнтези
открытые вакансии

*
Социальная сеть Instagram принадлежит компании Meta Platforms Inc., которая запрещена на территории РФ

English version English version

Колл-центр: (8:00–22:00), call@fantasyclinic.ru

Для связи по PR-вопросам: pr@fantasyclinic.ru

© 2026 Все права защищены
Имеются противопоказания. Проконсультируйтесь со специалистом Имеются противопоказания. Проконсультируйтесь со специалистом