Непрорезавшийся клык причинял боль. Нужно нестандартное ортодонтическое лечение!

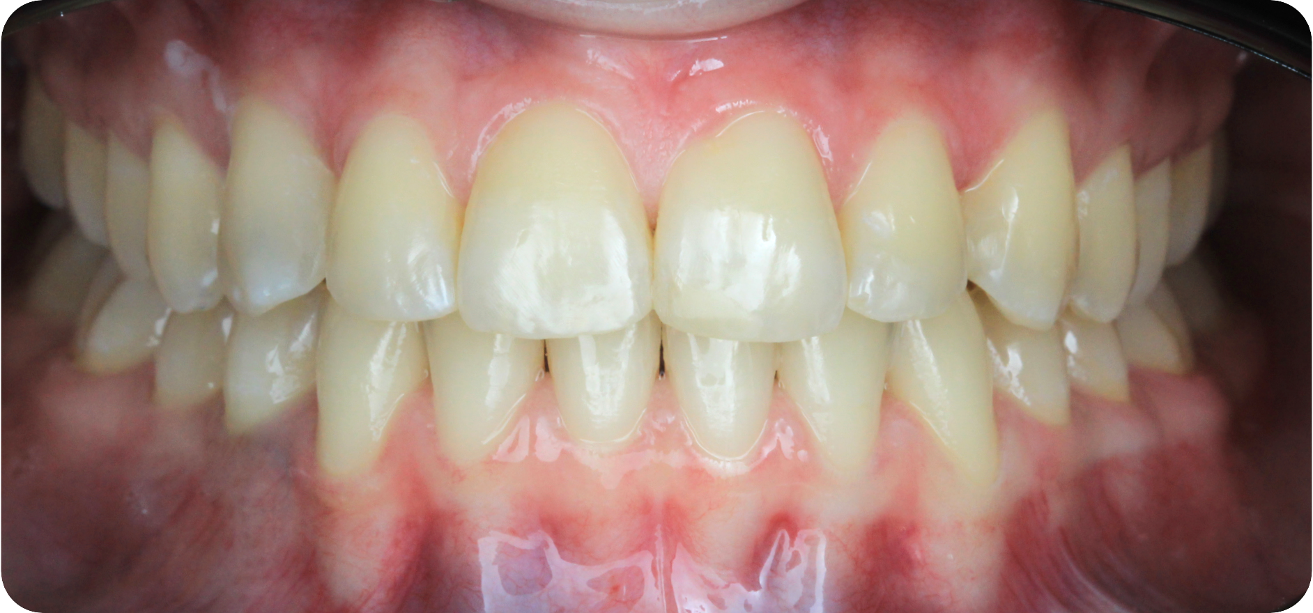
До
После
Непрорезавшийся клык причинял боль. Нужно нестандартное ортодонтическое лечение!

Дарья (17 лет), пришла к нам в клинику с жалобой: стало очень неприятно есть твердую пищу.

Врач-ортодонт Ольга Чупрова провела диагностику, проанализировала 3D КТ-снимок и выявила, что в области нёба залегает ретенированный (непрорезавшиийся) клык. Визуально он никак себя не проявляет, и понять, что причина боли в нем, обывателю очень сложно. Но после этапа диагностики врач с точностью определил местоположение клыка и приступил к его вытяжению.

Была использована методика, при которой брекеты на все зубы были установлены не сразу. Сначала мы проверяем способность ретенированного клыка двигаться и вытягиваем его из глубины костной ткани на поверхность.

Лишь после этого устанавливаются брекеты на все зубы, создается достаточное место для клыка и он перемещается на свое положенное место в зубном ряду.

Важные факторы для успеха такого лечения:

Глубокие знания и отличные навыки врача-ортодонта. Корни клыка очень длинные и массивные, необходимо точно рассчитать давление на зуб, чтобы он смог переместиться, выбрать правильную тактику лечения.

Второй фактор — это возраст. Чем старше пациент, например, после 20-25 лет шансы на эффективное и быстрое перемещение клыка кратно уменьшаются. Ретенированный зуб может потерять способность двигаться. Тогда речь будет идти только о его удалении и дальнейшей имплантации, чтобы не произошло нарушение прикуса.

Наши проекты
Дентал Фэнтези
детская стоматология
Фэнтези
педиатрическая клиника
Diagnocat
искусственный интеллект
Работа в ГК Фэнтези
открытые вакансии

*
Социальная сеть Instagram принадлежит компании Meta Platforms Inc., которая запрещена на территории РФ

English version English version

Колл-центр: (8:00–22:00), call@fantasyclinic.ru

Для связи по PR-вопросам: pr@fantasyclinic.ru

© 2026 Все права защищены
Имеются противопоказания. Проконсультируйтесь со специалистом Имеются противопоказания. Проконсультируйтесь со специалистом