Новая улыбка и новая молодость в 60+

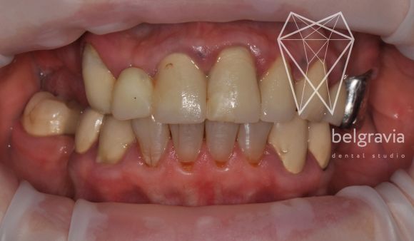
До
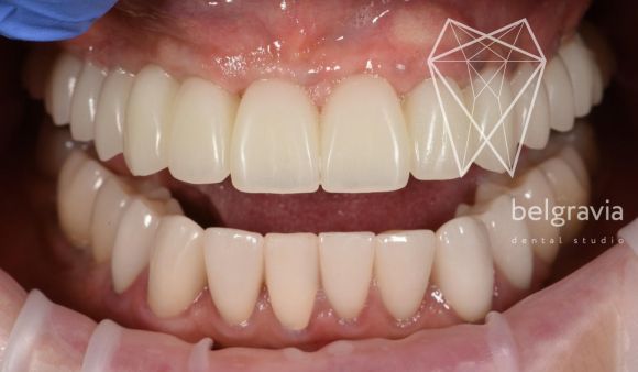
После
Новая улыбка и новая молодость в 60+.

Первое обращение пациента в нашу клинику было 10 лет назад. Сложные проблемы, которые мы шаг за шагом решали, исходя из возможностей пациента. На верхней челюсти удалены полностью все зубы. Они были покрыты старыми коронками, но коронки потеряли герметичность и в корневые каналы проникла инфекция. Процесс развивался и возникли большие очаги воспаления у корней зубов. В данном случае уже невозможно было спасти зубы.

И вот сегодня, мы делимся почти финальным этапом — установлены временный протез длительного ношения на 8 имплантатах на верхней челюсти. И коронки на нижней челюсти на свои зубы и на имплантаты.

С помощью таких временных протезов формируется правильное десневое ложе в области импланатата, чтобы в последующем постоянная коронка правильно прилегала к десне, без зазоров, давления и болезненных ощущений. Затем, если все нравится по удобству, мы фиксируем постоянные коронки из цельной керамики.

Теперь у пациента нет воспалительного процесса в полости рта и в свои 60+ можно наслаждаться вкусом любимых блюд, улыбаться открыто и не бояться, что вот-вот снова заболит разрушенный зуб.

Наши проекты
Дентал Фэнтези
детская стоматология
Фэнтези
педиатрическая клиника
Diagnocat
искусственный интеллект
Работа в ГК Фэнтези
открытые вакансии

*
Социальная сеть Instagram принадлежит компании Meta Platforms Inc., которая запрещена на территории РФ

English version English version

Колл-центр: (8:00–22:00), call@fantasyclinic.ru

Для связи по PR-вопросам: pr@fantasyclinic.ru

© 2026 Все права защищены
Имеются противопоказания. Проконсультируйтесь со специалистом Имеются противопоказания. Проконсультируйтесь со специалистом