Помогли пациентке побороть страх перед стоматологами и подарили улыбку мечты

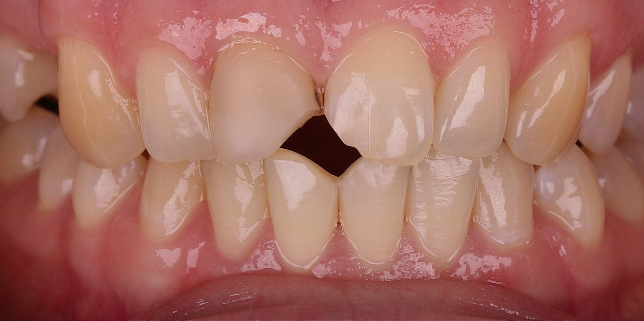
До
После
Помогли пациентке побороть страх перед стоматологами и подарили улыбку мечты
Клиника
Новые Черемушки
Гарибальди, д. 15

В этом кейсе запрос пациента — снова начать улыбаться. Сделать это мешали сильные сколы на передних зубах. Главная сложность заключалась в том, что девушка панически боялась лечения. Поэтому врач-стоматолог, ортопед Дентал Белгравия Владислава Наумова все подготовительные манипуляции провела, не прикасаясь к зубам.

  • Отсканировала зубные ряды и создала модель будущей улыбки с 4 новыми винирами.
    Благодаря специальной расцветке и поляризационным фильтрам, которые убирают блики на зубах, подобрали идеально естественный оттенок, чтобы виниры не выделялись и смотрелись натурально.
  • Пациент смог примерить будущую улыбку еще до обработки зубов. Увидев, какой результат ее ждет, девушка сказала: «Это мои зубы, я и забыла, какая красивая у меня улыбка!»
  • Подготовку зубов для фиксации виниров врач провел за один визит в условиях предельно безопасного наркоза.
    Эта процедура проходила под непрерывным контролем анестезиологической бригады. А благодаря слаженной работе в 6 рук (врач-стоматолог и 2 его ассистента), процесс длился минимально необходимое время. Дентал Белгравия работает по самому высокому международному стандарту качества медицинской помощи JCI, и безопасность пациента для нас — на первом месте.

До
После
Наши проекты
Дентал Фэнтези
детская стоматология
Фэнтези
педиатрическая клиника
Diagnocat
искусственный интеллект
Работа в ГК Фэнтези
открытые вакансии

*
Социальная сеть Instagram принадлежит компании Meta Platforms Inc., которая запрещена на территории РФ

English version English version

Колл-центр: (8:00–22:00), call@fantasyclinic.ru

Для связи по PR-вопросам: pr@fantasyclinic.ru

© 2026 Все права защищены
Имеются противопоказания. Проконсультируйтесь со специалистом Имеются противопоказания. Проконсультируйтесь со специалистом