Тотальное протезирование

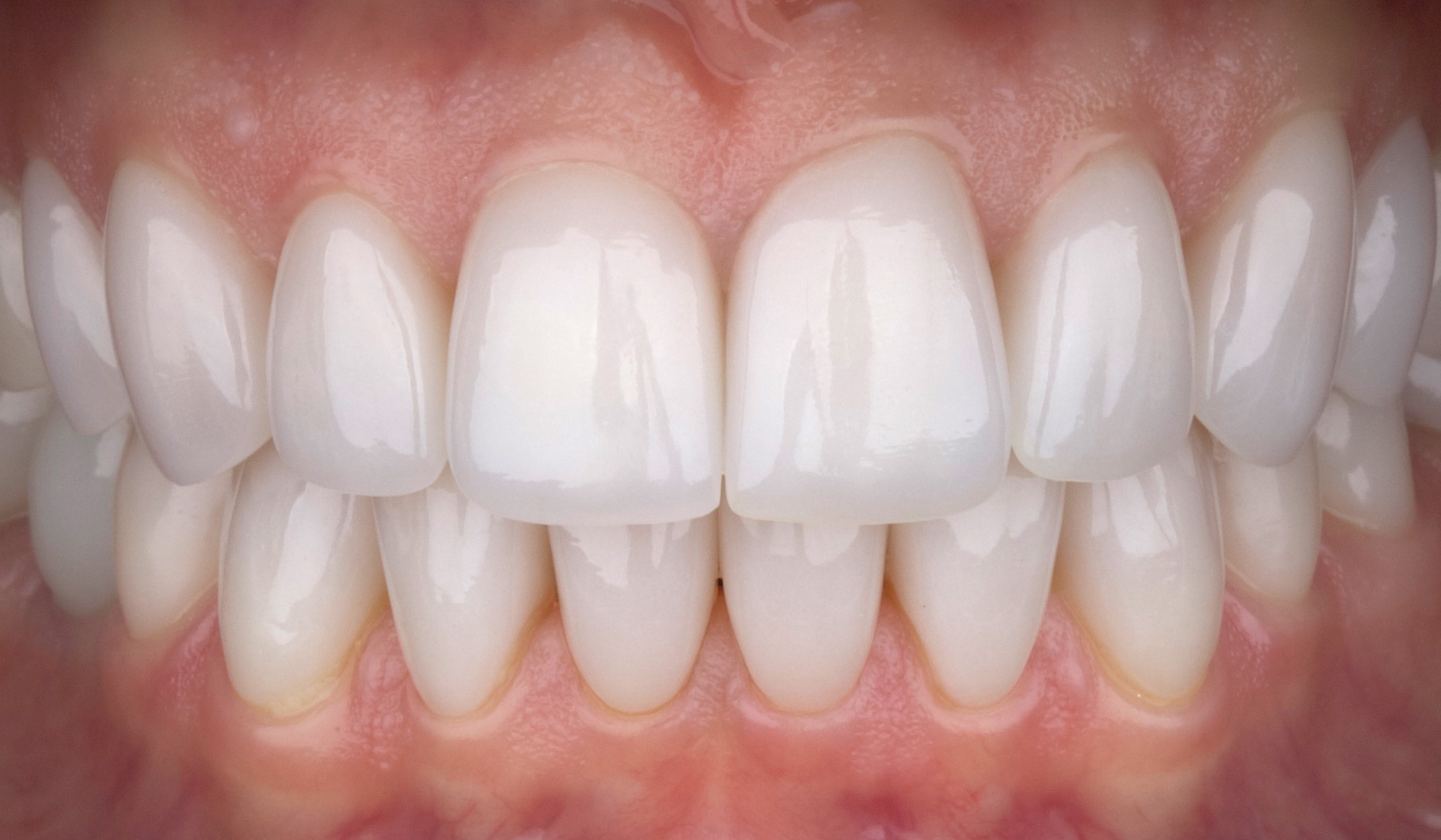
До
После
Тотальное протезирование
Клиника
Проспект Мира
Проспект Мира, д. 36, стр. 1
У пациентки выявлено несколько стоматологических проблем: сниженная высота прикуса, затруднения с пережевыванием пищи, повышенная чувствительность, гипертонус жевательных мышц, патологическая стираемость, неудовлетворительная форма и цвет зубов.
Лечение: вертикализация, изменение высоты прикуса, увеличение VDO (вертикального размера окклюзии), антеризация нижней челюсти.
Завершилось лечение тотальной стоматологической реабилитацией.
Наши проекты
Дентал Фэнтези
детская стоматология
Фэнтези
педиатрическая клиника
Diagnocat
искусственный интеллект
Работа в ГК Фэнтези
открытые вакансии

*
Социальная сеть Instagram принадлежит компании Meta Platforms Inc., которая запрещена на территории РФ

English version English version

Колл-центр: (8:00–22:00), call@fantasyclinic.ru

Для связи по PR-вопросам: pr@fantasyclinic.ru

© 2026 Все права защищены
Имеются противопоказания. Проконсультируйтесь со специалистом Имеются противопоказания. Проконсультируйтесь со специалистом