Трещина корня зуба. Мы поставили имплантат и зафиксировали коронку

До
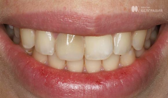
После
Трещина корня зуба. Мы поставили имплантат и зафиксировали коронку.

Пациентка пришла к нам с проблемой: потемнел передний зуб из-за некачественного лечения корневых каналов.

Но после диагностики выяснилось, что это не просто эстетический дефект. Мы отчетливо видим перелом корня зуба. Трещина зуба — показание к удалению. Других вариантов лечения нет.

Сразу же после удаления мы установили мы установили навигационный хирургический шаблон. И по нему точно зафиксировали имплантат. Все в 1 визит.

Завершает лечение фиксация постоянной цельнокерамической коронки. Теперь можно говорить о высокой эстетике и надежной функциональности.

Наши проекты
Дентал Фэнтези
детская стоматология
Фэнтези
педиатрическая клиника
Diagnocat
искусственный интеллект
Работа в ГК Фэнтези
открытые вакансии

*
Социальная сеть Instagram принадлежит компании Meta Platforms Inc., которая запрещена на территории РФ

English version English version

Колл-центр: (8:00–22:00), call@fantasyclinic.ru

Для связи по PR-вопросам: pr@fantasyclinic.ru

© 2026 Все права защищены
Имеются противопоказания. Проконсультируйтесь со специалистом Имеются противопоказания. Проконсультируйтесь со специалистом