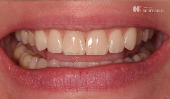
Установка керамических виниров E-max

До
После
Задача: кардинально улучить цвет эмали, форму зубов. Решение: установка керамических виниров
Клиника
Проспект Мира
Проспект Мира, д. 36, стр. 1
Наши проекты
Дентал Фэнтези
детская стоматология
Фэнтези
педиатрическая клиника
Diagnocat
искусственный интеллект
Работа в ГК Фэнтези
открытые вакансии

*
Социальная сеть Instagram принадлежит компании Meta Platforms Inc., которая запрещена на территории РФ

English version English version

Колл-центр: (8:00–22:00), call@fantasyclinic.ru

Для связи по PR-вопросам: pr@fantasyclinic.ru

© 2026 Все права защищены
Имеются противопоказания. Проконсультируйтесь со специалистом Имеются противопоказания. Проконсультируйтесь со специалистом