Установка коронок на постоянные зубы подростку

До
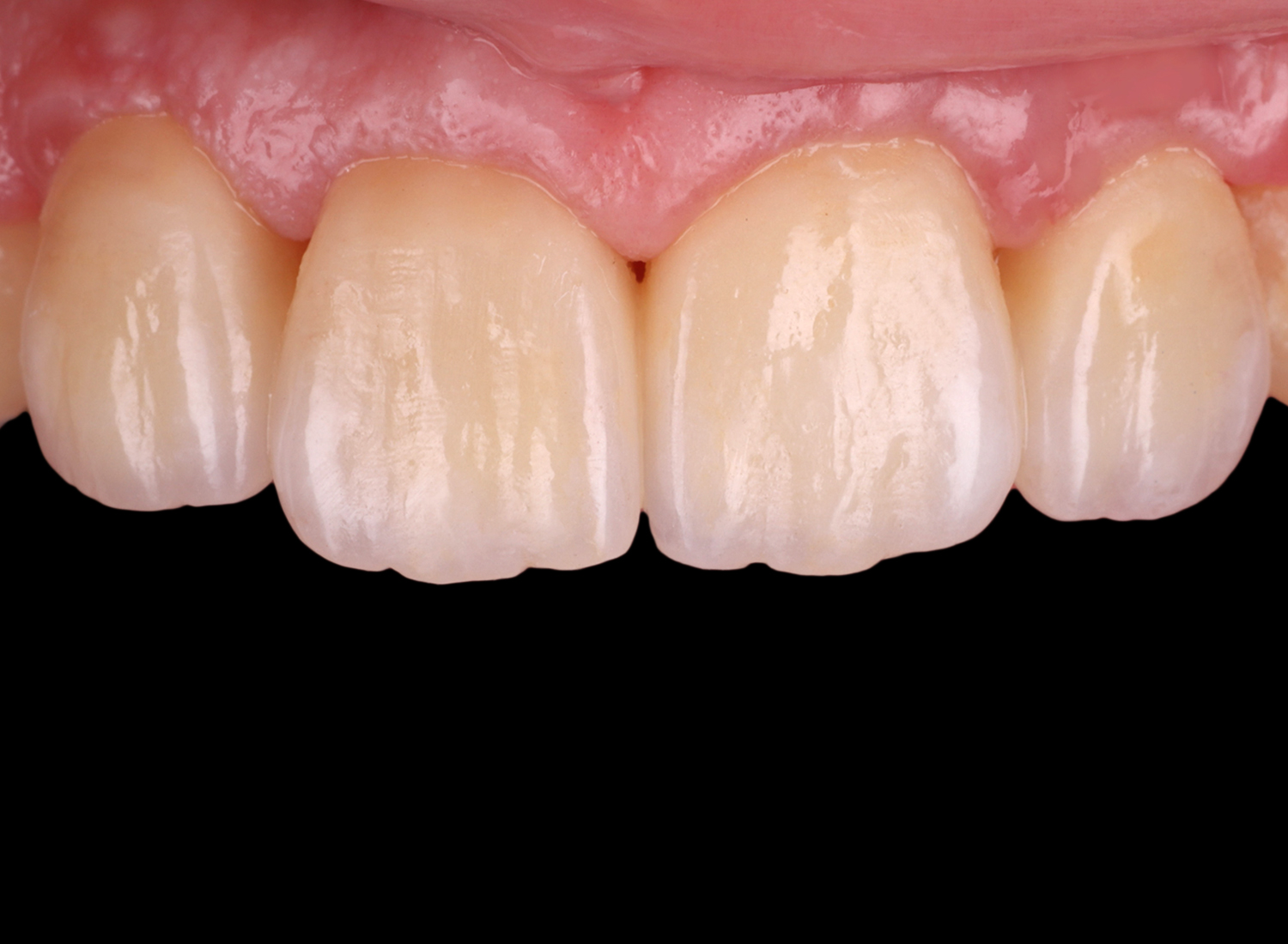
После
Установка коронок на постоянные зубы подростку

Макар ранее уже лечился у стоматолога, ему восстанавливали композитными пломбами центральные резцы. Но случился скол зуба, и вместе с мамой Макара мы выбрали метод лечения — установка коронок. Помимо функционала хотелось высокой эстетики: чтобы зубы были красивыми, ровными и натуральными.

Большая часть работы проведена в наркозе: профессиональная гигиена, восстановление сколотого зуба (врач Максимова Анастасия), обтачивание 4 центральных резцов под коронки, сканирование и изготовление временных коронок.

Через 2 недели техник изготовил великолепные рельефные и очень изящные коронки. Фиксация заняла всего 30 минут, и результат получился естественным и надежным. Теперь можно не избегать ограничений в питании, эти прочные надежные конструкции прослужат очень долго.

Наши проекты
Дентал Фэнтези
детская стоматология
Фэнтези
педиатрическая клиника
Diagnocat
искусственный интеллект
Работа в ГК Фэнтези
открытые вакансии

*
Социальная сеть Instagram принадлежит компании Meta Platforms Inc., которая запрещена на территории РФ

English version English version

Колл-центр: (8:00–22:00), call@fantasyclinic.ru

Для связи по PR-вопросам: pr@fantasyclinic.ru

© 2026 Все права защищены
Имеются противопоказания. Проконсультируйтесь со специалистом Имеются противопоказания. Проконсультируйтесь со специалистом