Вечер, самокат, травма! И ювелирное лечение

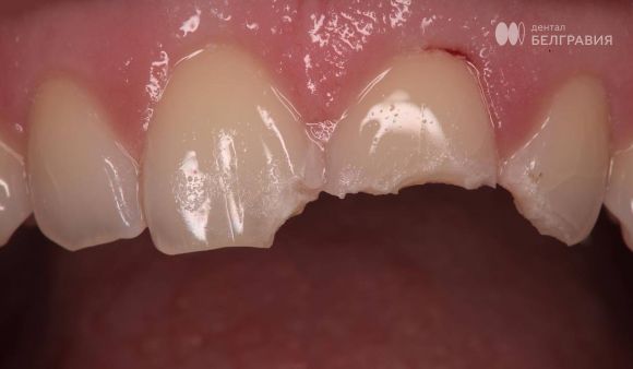
До
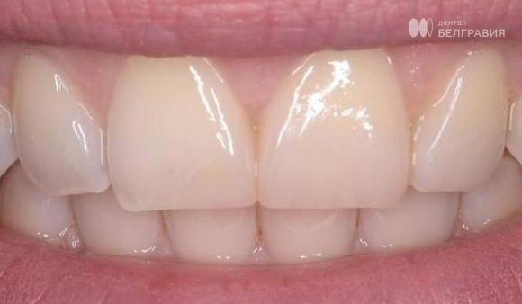
После
Вечер, самокат, травма! И ювелирное лечение
Направление
Клиника
Кунцевская
Молодогвардейская, д. 2, к. 1
В экстренных случаях мы готовы задержаться в клинике для решения вашей проблемы даже до 5 утра. В Дентал Белгравия работает команда врачей, которые специализируются именно на зубосохраняющем лечении травмированных зубов. Мы спасаем зубы после маленького скола и даже если зуб полностью вышел из лунки. Главное, действовать быстро и не терять ни секунды после травмы.

Девушка, 35 лет, решила вечером покататься на самокате, в результате получила травму зуба. В 22.30 была у нас в клинике. Приступили к лечению. Коффердам, микроскоп — все как положено по нашим высоким стандартам качества. Доктор закончила работу около 5 утра. Зубы сохранены живыми, врач выполнила полную реставрацию композитным материалом за один визит.
Наши проекты
Дентал Фэнтези
детская стоматология
Фэнтези
педиатрическая клиника
Diagnocat
искусственный интеллект
Работа в ГК Фэнтези
открытые вакансии

*
Социальная сеть Instagram принадлежит компании Meta Platforms Inc., которая запрещена на территории РФ

English version English version

Колл-центр: (8:00–22:00), call@fantasyclinic.ru

Для связи по PR-вопросам: pr@fantasyclinic.ru

© 2026 Все права защищены
Имеются противопоказания. Проконсультируйтесь со специалистом Имеются противопоказания. Проконсультируйтесь со специалистом