Екатерина

Екатерина

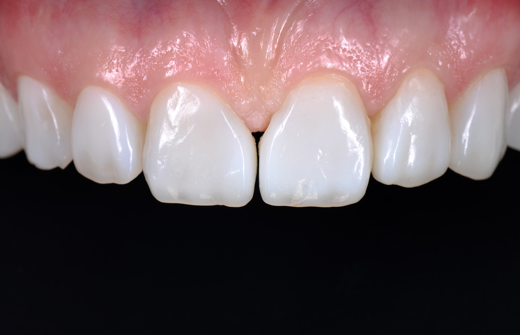
Екатерина пришла к нам после ортодонтического лечения в другой клинике. Екатерина по профессии фотограф, умеет увидеть и почувствовать красоту, у нее высокие запросы к эстетике улыбки. Не хотела белоснежные зубы, которые все как один похожи друг на друга и смотрятся неестественно. 

Мы провели полную эстетическую и функциональную реабилитацию, протезирование керамическими микропротезами в области всех зубов. 

На фото эстетическое преображение улыбки с помощью полевошпатных керамических виниров, сделанных вручную. В таких винирах на 100% воссозданы природные особенности зубов: микрорельеф, прозрачный режущий край, форма и оттенок.

Наши проекты
Дентал Фэнтези
детская стоматология
Фэнтези
педиатрическая клиника
Diagnocat
искусственный интеллект
Работа в ГК Фэнтези
открытые вакансии

*
Социальная сеть Instagram принадлежит компании Meta Platforms Inc., которая запрещена на территории РФ

English version English version

Колл-центр: (8:00–22:00), call@fantasyclinic.ru

Для связи по PR-вопросам: pr@fantasyclinic.ru

© 2026 Все права защищены
Имеются противопоказания. Проконсультируйтесь со специалистом Имеются противопоказания. Проконсультируйтесь со специалистом