Игорь

Игорь

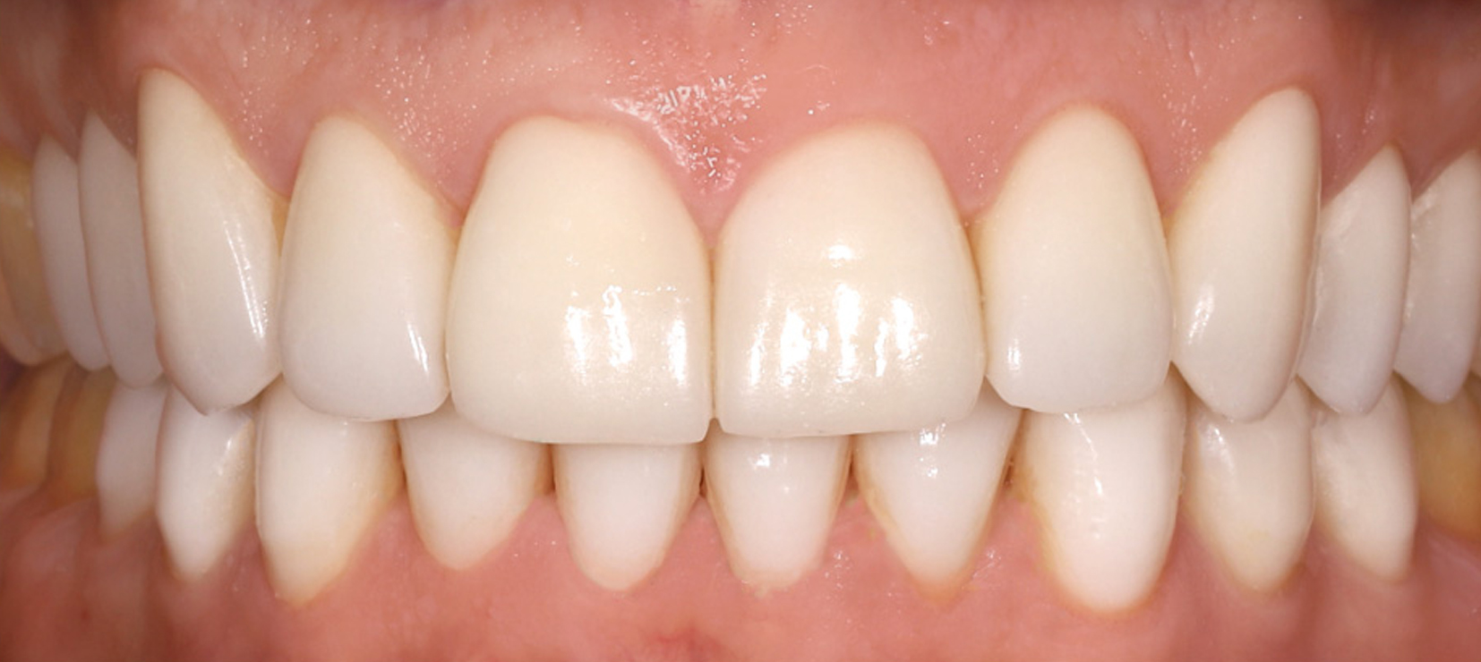
Нашего пациента не устраивала эстетика улыбки, сколы эмали, скученность зубов. Мы реализовали комплексный план лечения:
замена старых пломб, лечение кариеса. Удаление зубов мудрости перед ортодонтическим лечением, исправление прикуса и выравнивание зубов на брекетах. Фиксация цельнокерамических коронок и виниров. Тонкая работа, выполненная с помощью медицинского микроскопа. Регулярная профессиональная гигиена.

Общий срок лечения 3 года.

Слова Игоря — лучшая благодарность для нас: “Теперь я чаще улыбаюсь, не стесняюсь своей улыбки, и стал увереннее на 100%”

Наши проекты
Дентал Фэнтези
детская стоматология
Фэнтези
педиатрическая клиника
Diagnocat
искусственный интеллект
Работа в ГК Фэнтези
открытые вакансии

*
Социальная сеть Instagram принадлежит компании Meta Platforms Inc., которая запрещена на территории РФ

English version English version

Колл-центр: (8:00–22:00), call@fantasyclinic.ru

Для связи по PR-вопросам: pr@fantasyclinic.ru

© 2026 Все права защищены
Имеются противопоказания. Проконсультируйтесь со специалистом Имеются противопоказания. Проконсультируйтесь со специалистом