Константин

Константин

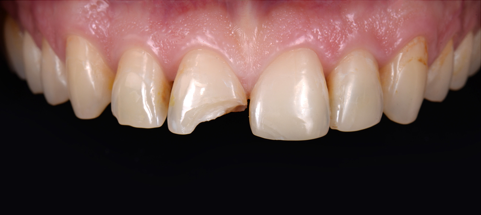
У пациента была старая травма зуба. Скол несколько раз восстанавливался пломбой в разных клиниках, но каждый раз пломба не выдерживала нагрузку. И снова неэстетичный вид улыбки... Чтобы история не повторилась, мы предложили основательное и долговечное решение: ⠀

  • Создаем дизайн будущей улыбки и согласовываем все детали с пациентом
  • Изготавливаем цельнокерамические, тонкостенные виниры. Воссоздаем природный микрорельеф зубов.
  • Сверхточная фиксация 6 виниров с помощью медицинской оптики.

Результат: красивая и здоровая улыбка, новое качество жизни. Константин открыто улыбается. И даже взгляд изменился — стал более уверенным.

Наши проекты
Дентал Фэнтези
детская стоматология
Фэнтези
педиатрическая клиника
Diagnocat
искусственный интеллект
Работа в ГК Фэнтези
открытые вакансии

*
Социальная сеть Instagram принадлежит компании Meta Platforms Inc., которая запрещена на территории РФ

English version English version

Колл-центр: (8:00–22:00), call@fantasyclinic.ru

Для связи по PR-вопросам: pr@fantasyclinic.ru

© 2026 Все права защищены
Имеются противопоказания. Проконсультируйтесь со специалистом Имеются противопоказания. Проконсультируйтесь со специалистом