Людмила

Людмила

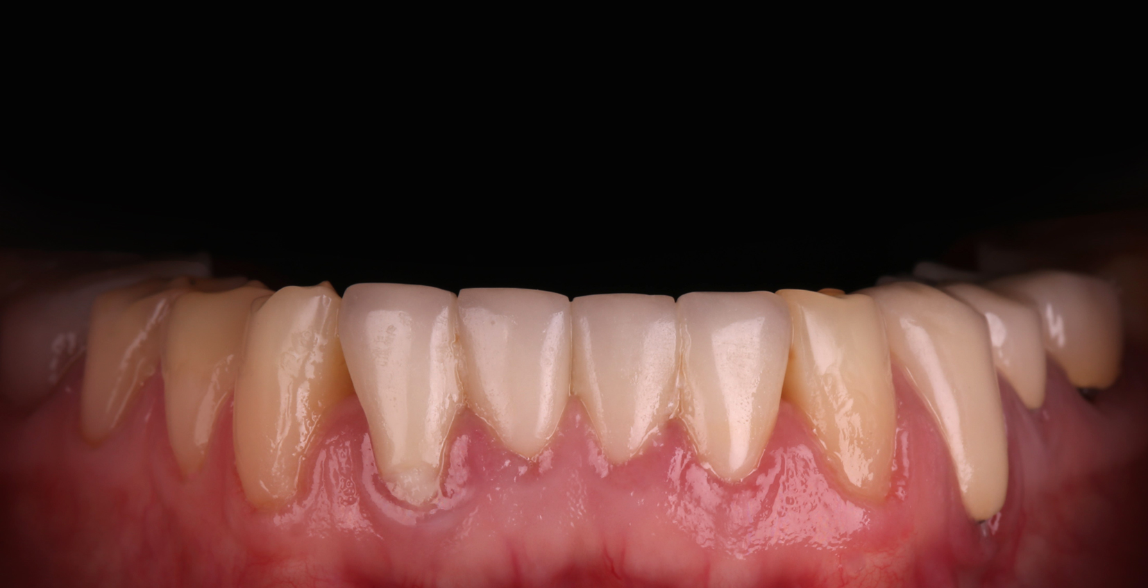
Вместе мы прошли путь, который привел к потрясающему результату! Этапы: лечение каналов, удаление зубов и последующая имплантация, пластика рецессий десны. Восстановили зубы керамическими коронками и винирами: полупрозрачный режущий край и микрорельеф, как у природной эмали. И конечно же, профессиональна гигиена — для поддержания красоты.
Наши проекты
Дентал Фэнтези
детская стоматология
Фэнтези
педиатрическая клиника
Diagnocat
искусственный интеллект
Работа в ГК Фэнтези
открытые вакансии

*
Социальная сеть Instagram принадлежит компании Meta Platforms Inc., которая запрещена на территории РФ

English version English version

Колл-центр: (8:00–22:00), call@fantasyclinic.ru

Для связи по PR-вопросам: pr@fantasyclinic.ru

© 2026 Все права защищены
Имеются противопоказания. Проконсультируйтесь со специалистом Имеются противопоказания. Проконсультируйтесь со специалистом