Разбираемся вместе со стоматологом-пародонтологом, хирургом Дентал Белгравия Ланой Черкесовой.
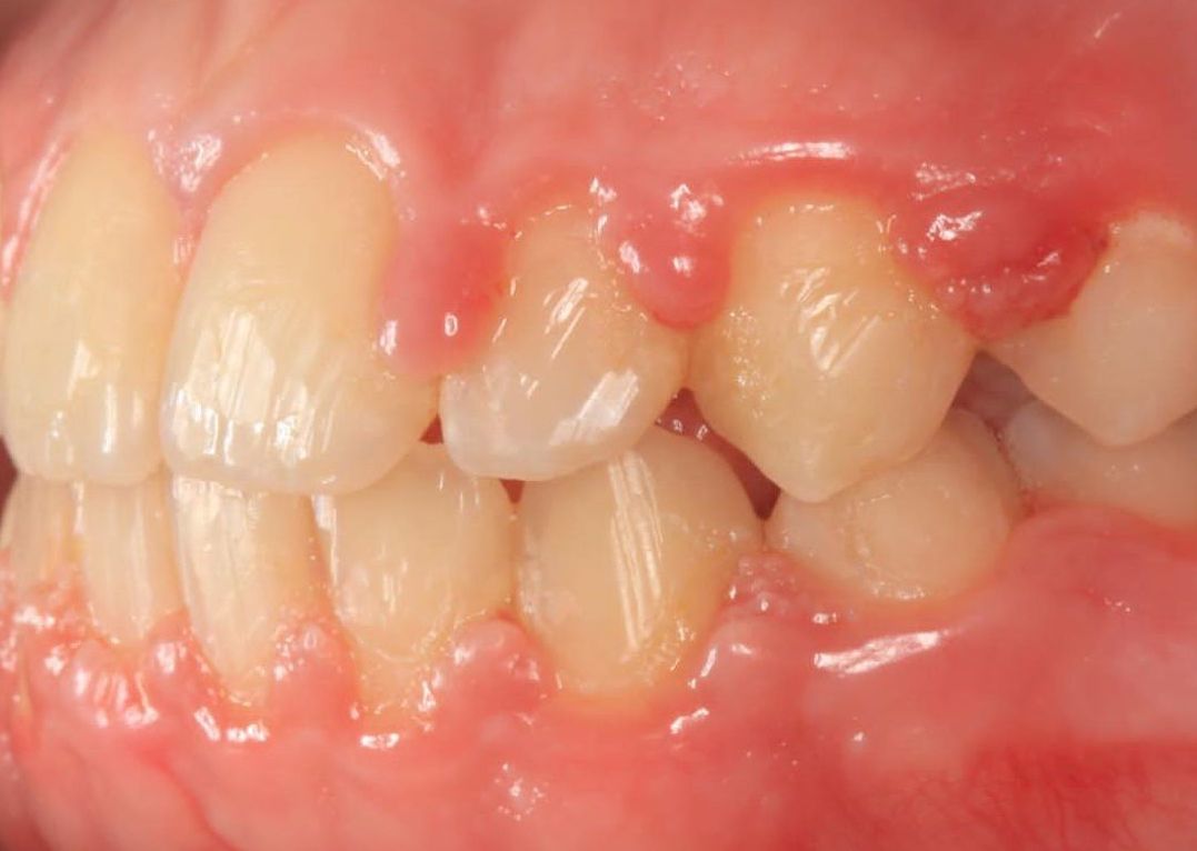
Главное, что нужно знать: отек десны — не норма! Даже если он то появляется, то проходит, а десна не болит — это проявление воспалительного процесса.
Причина воспаления всегда одна — бактерии, которые размножаются на поверхности или внутри тканей. А вот попадать туда они могут разными путями. Тактика лечения тоже будет разной, как и специализация врача для решения проблемы.
Но первый врач, которому стоит показаться — стоматолог-пародонтолог, который занимается здоровьем десны и других тканей, окружающих зубы.

Одной из причин отека может быть хроническое воспалительное заболевание — гингивит или пародонтит. В этом случае пародонтолог поможет правильно поставить диагноз и назначить лечение. Самая важная часть будет заключаться в индивидуальном подборе средств домашнего ухода и способах их применения.
При гингивите врач проведет контролируемую чистку зубов: выявит участки, где присутствует риск развития заболевания, научит вас эффективной технике чистки зубов, вместе с вами отработает движения зубной щеткой, подберут размер и покажут, как пользоваться межзубными ёршиками, зубной нитью и другими средствами. Поможет подобрать нужную зубную пасту (возможно потребуется специальная лечебная паста) или ополаскиватель полости рта.
При пародонтите врач определит степень заболевания, даст прогноз сохранения зубов и составит индивидуальный план лечения.
Важно: пародонтит может «маскироваться» под гингивит, то есть визуально проявляться практически так же. Не занимайтесь самодиагностикой и самолечением: появился отек/опухла десна — запишитесь на прием к пародонтологу.
Причиной проблем с десной часто бывает несостоятельность ортопедической конструкции. Например, если коронку установили на имплантат неправильно, между ней и десной остаются полости, куда попадают частички пищи и бактерии, и начинается воспаление десны. Пародонтолог установит точную причину. Если дело именно в этом, он направит вас к стоматологу-ортопеду, который уберет старую конструкцию, дождется заживления тканей и установит новую.
Зубы мудрости часто доставляют немало хлопот: десна воспаляется, отекает и болит, а зуб никак не прорезывается. Если он правильно расположен и не давит на соседние зубы, врач-пародонтолог, имеющий хирургическую специализацию может под местной анестезией сделать надрез на десне, чтобы зуб наконец прорезался.
Но когда злополучная «восьмерка» лежит на боку, или для нее вовсе нет места, необходимо удаление зуба мудрости в клинике.
Еще одной причиной отека и боли может быть пародонтальный абсцесс — скопление гноя у зуба с пародонтитом, его еще называют «флюс». Чтобы вскрыть абсцесс и очистить его от гноя, понадобится работа хирурга-пародонтолога или лечение у терапевта-эндодонтиста. После заживления десны, врач обучит пациента навыкам качественной гигиены, чтобы предотвратить повторный абсцесс.
Любое из этих состояний без лечения может осложниться, если инфекция распространится дальше: на шею, лицо, в пазухи носа. Может ухудшиться общее состояние, а в некоторых случаях дело может закончиться потерей одного или нескольких зубов. Самостоятельно выяснить причину отека и боли в десне затруднительно — лучше доверить эту задачу профессионалу.
Нажимая на кнопку, вы даете согласие на обработку персональных данных
Колл-центр: (8:00–22:00), call@fantasyclinic.ru
Для связи по PR-вопросам: pr@fantasyclinic.ru
Этот сайт использует cookie